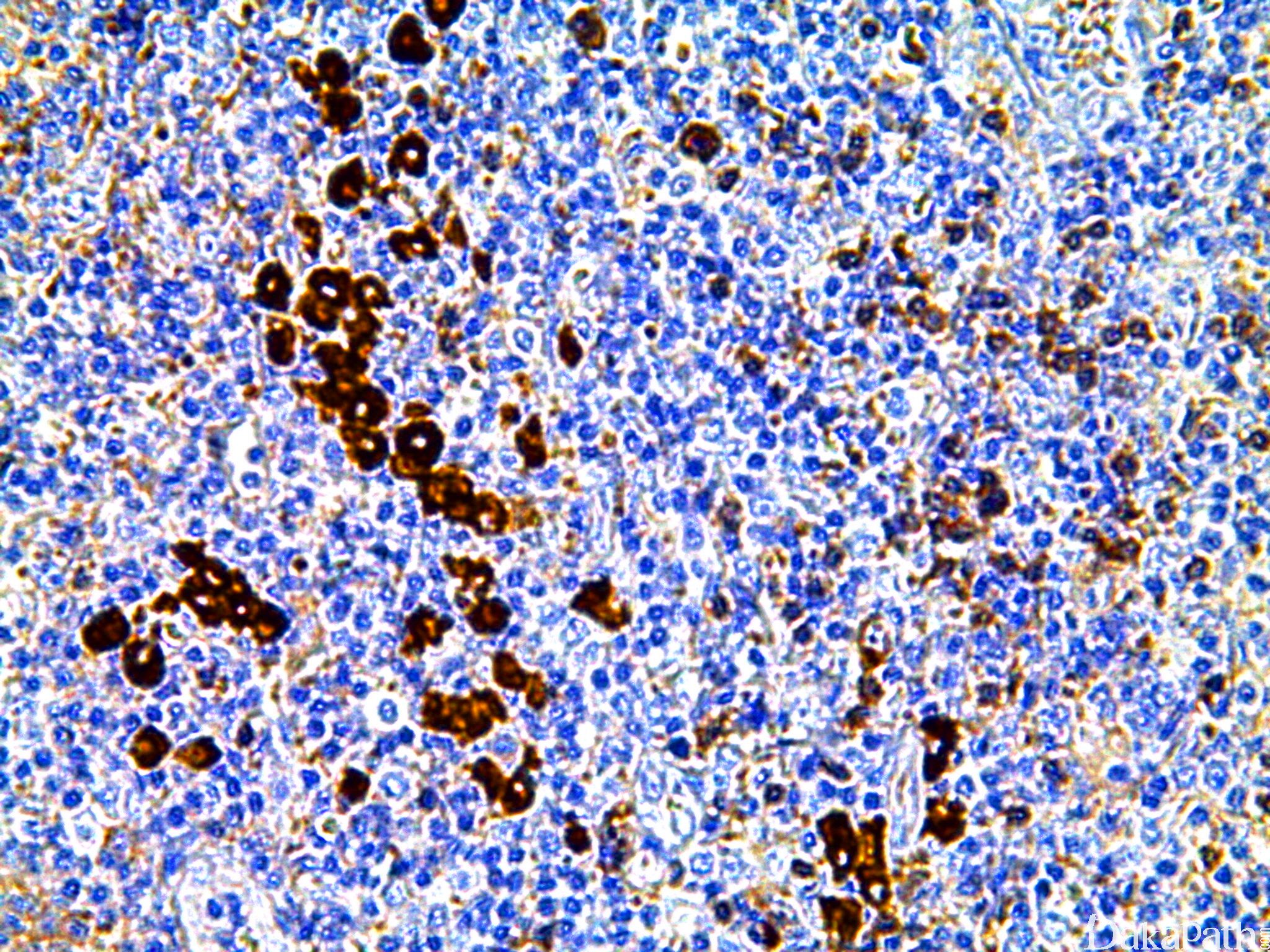
IgG

别名: 免疫球蛋白 γ 链。
概述:
标记人免疫球蛋白
信号定位: 胞浆
在病理学中的应用:
肾小球肾炎分型;
辅助淋巴瘤诊断及分型。
商品化试剂(排名不分先后,本网站对抗体质量不负责!)
公司 | 克隆号 | 即用型(ml) | 原液(ml) | ||||
中杉金桥 | / | 1.5 | 3 | 6 | / | 0.1 | 0.2 |
安必平 | / | 1.5 | 3 | 6 | / | 0.1 | 0.2 |
福建迈新 | 多克隆 | 1.5 | 3 | 6 | / | / | 0.2 |
在肿瘤中的表达情况:
几乎全部阳性(≥95%的病例阳性): 弥漫大 B 型大 B 细胞淋巴瘤,非特指型
有时阳性(<55%,≥35%的病例阳性): 浆细胞骨髓瘤
少数阳性(<35%,≥15%的病例阳性): 边缘区 B 细胞淋巴瘤、皮肤 Merkel 细胞癌、脑膜瘤,分泌性、ALK+ 大 B 细胞淋巴瘤
偶尔阳性(<15%,≥5%的病例阳性): 滤泡性淋巴瘤