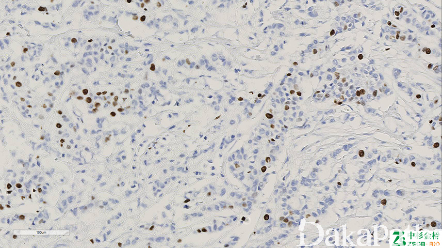
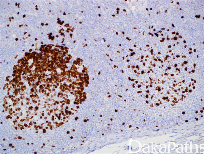
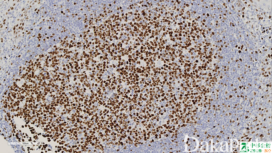
Ki-67

概述:
标记处于细胞周期 G1,S,M,G2 期的细胞,G0 期细胞阴性。用于肿瘤细胞增殖评价。
信号定位: 胞核
在病理学中的应用:
神经内分泌肿瘤分级;
滤泡性淋巴瘤与反应性滤泡的鉴别;
Burkitt 淋巴瘤的诊断。
商品化试剂(排名不分先后,本网站对抗体质量不负责!)
公司 | 克隆号 | 即用型(ml) | 原液(ml) | ||||
基因科技 | SP6 | 1 | 2 | 4 | 7 | 0.2 | 1 |
MIB-1 | |||||||
GM001 | |||||||
赛诺特 | MIB-1 | 1 | 3 | 6 | / | 0.1 | 0.2 |
MM1 | |||||||
SP6 | |||||||
中杉金桥 | 7B11 | 1.5 | 3 | 6 | / | 0.1 | 0.2 |
UMAB107 | |||||||
MIB-1 | |||||||
EP5 | |||||||
安必平 | MIB-1 | 1.5 | 3 | 6 | / | 0.1 | 0.2 |
SP6 | |||||||
福建迈新 | MIB-1 | / | 3 | 6 | / | / | / |
MX006 | 1.5 | 3 | 6 | / | / | 0.2 | |
MXR002 | 1.5 | 3 | 6 | / | / | 0.2 | |