MLH1

别名: MutL homolog 1 colon cancer nonpolyposis type 2 (NCBI-Gene), hMLH1
概述:
为 DNA 错配修复基因,突变后会使细胞错配修复功能缺陷,产生微卫星不稳定性(MSI),导致肿瘤易感。至少有 6 个 MMR 基因与 HNPCC(家族性非息肉病性大肠癌)发生有关,包括 hMSH2、hMLH1、hPSM1、hPSM2、hMSH6 和 hMSH3。 hMSH2 和 hMLH1 基因突变占所检测到突变的 90%以上,hMSH6 占检测到突变的 5%。
信号定位: 胞核
在病理学中的应用:
联合检测 MLH1, MSH2, PMS2 和 MSH6 可用于 Lynch syndrome(遗传性非息肉性结肠癌)的筛查;
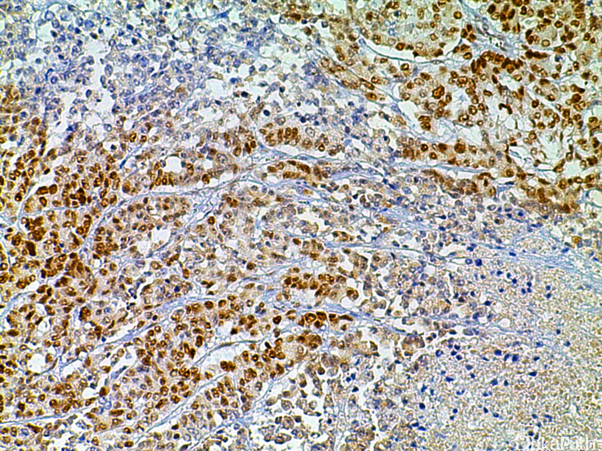
正常上皮、间质细胞和淋巴细胞均核(+);
散发性 MSI 大肠癌对 5-FU 和顺铂等化疗药物不敏感,而对伊立替康等化疗药物敏感,同时对放疗比较敏感。
商品化试剂(排名不分先后,本网站对抗体质量不负责!)
公司 | 克隆号 | 即用型(ml) | 原液(ml) | ||||
基因科技 | ES05 | / | 2 | 4 | 7 | / | 0.2 |
赛诺特 | ES05 | 1 | 3 | 6 | / | 0.1 | 0.2 |
中杉金桥 | ES05 | 1.5 | 3 | 6 | / | 0.1 | 0.2 |
安必平 | ES05 | 1.5 | 3 | 6 | / | 0.1 | 0.2 |
福建迈新 | G168-15 | 1.5 | 3 | 6 | / | / | 0.2 |
在肿瘤中的表达情况:
几乎全部阳性(≥95%的病例阳性): 恶性黑色素瘤、皮脂腺腺癌、鼻窦腺癌,肠型、壶腹腺癌,肠型、透明细胞肾细胞癌、梭形和上皮样细胞痣、皮脂腺上皮瘤、子宫内膜透明细胞癌、壶腹腺癌,胰胆管型、壶腹腺瘤、十二指肠腺瘤,非壶腹部、壶腹癌、胰腺导管腺癌
通常阳性(<95%,≥75%的病例阳性): 卵巢子宫内膜样癌、结直肠腺癌、皮脂腺腺瘤、子宫内膜腺癌、卵巢透明细胞癌、子宫内膜浆液性癌、胃腺癌、结直肠腺癌,家族息肉病相关、锯齿状腺瘤
经常阳性(<75%,≥55%的病例阳性): 腺泡状软组织肉瘤、恶性混合性苗勒管肿瘤,间质成分、恶性混合性苗勒管肿瘤,上皮成分、子宫癌肉瘤、小肠腺癌
少数阳性(<35%,≥15%的病例阳性): 结直肠黏液性腺癌、结直肠淋巴上皮瘤样癌
几乎全部阴性(<5%的病例阳性): 食管未分化癌