MPO

别名: Myeloperoxidase、髓过氧化物酶
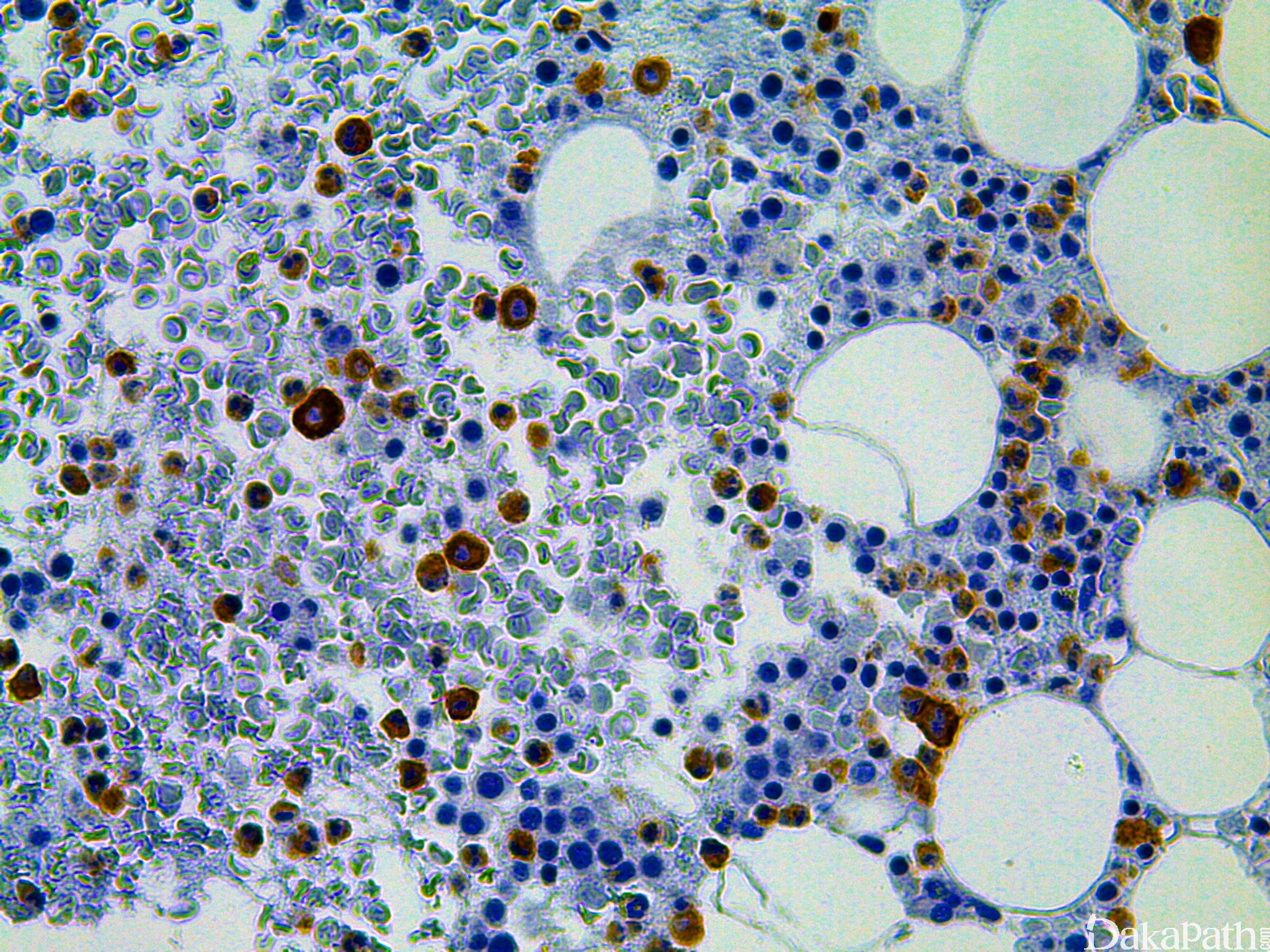
概述:
髓系白血病及粒细胞肉瘤敏感及特异性标记。
信号定位: 胞质
在病理学中的应用:
急性白血病免疫分型、粒细胞肉瘤的诊断。
商品化试剂(排名不分先后,本网站对抗体质量不负责!)
公司 | 克隆号 | 即用型(ml) | 原液(ml) | ||||
基因科技 | Poly | 1 | 2 | 4 | 7 | / | 0.2 |
赛诺特 | 多克隆 | 1 | 3 | 6 | / | 0.1 | 0.2 |
EP151 | |||||||
安必平 | / | 1.5 | 3 | 6 | / | 0.1 | 0.2 |
福建迈新 | 多克隆 | 1.5 | 3 | 6 | / | / | 0.2 |
在肿瘤中的表达情况:
几乎全部阳性(≥95%的病例阳性): 慢性髓系白血病、急性髓系白血病(M2)、急性髓系白血病(M4)、急性髓系白血病(M3)、髓系白血病、急性髓系白血病(M1)、慢性粒-单核白血病、慢性嗜酸细胞白血病
通常阳性(<95%,≥75%的病例阳性): 急性白血病,混合表型
经常阳性(<75%,≥55%的病例阳性): 急性髓系白血病,NOS、急性髓系白血病(M5)、前列腺高级别上皮内瘤变
有时阳性(<55%,≥35%的病例阳性): 急性髓系白血病(M6)
少数阳性(<35%,≥15%的病例阳性): 前列腺腺泡性癌
偶尔阳性(<15%,≥5%的病例阳性): B 淋巴母细胞白血病/淋巴瘤、组织细胞肉瘤、前列腺腺体萎缩
几乎全部阴性(<5%的病例阳性): 弥漫大 B 型大 B 细胞淋巴瘤,非特指型、母细胞性浆细胞样树突状细胞肿瘤、T 淋巴母细胞白血病/淋巴瘤、滤泡性淋巴瘤 I 级、Burkitt 淋巴瘤、肺 NUT 癌、毛细胞白血病、孤立性浆细胞瘤、急性髓系白血病(M7)、黏膜相关淋巴组织边缘区 B 细胞淋巴瘤、边缘区 B 细胞淋巴瘤、套细胞淋巴瘤、结外 NK/T 细胞淋巴瘤,鼻型、急性巨核细胞白血病、外周 T 细胞淋巴瘤、T 细胞淋巴瘤,Gamma/Delta、急性嗜碱粒细胞白血病