MUC5AC

别名: MUC5;45M1;CLH2;黏糖蛋白 5AC
概述:
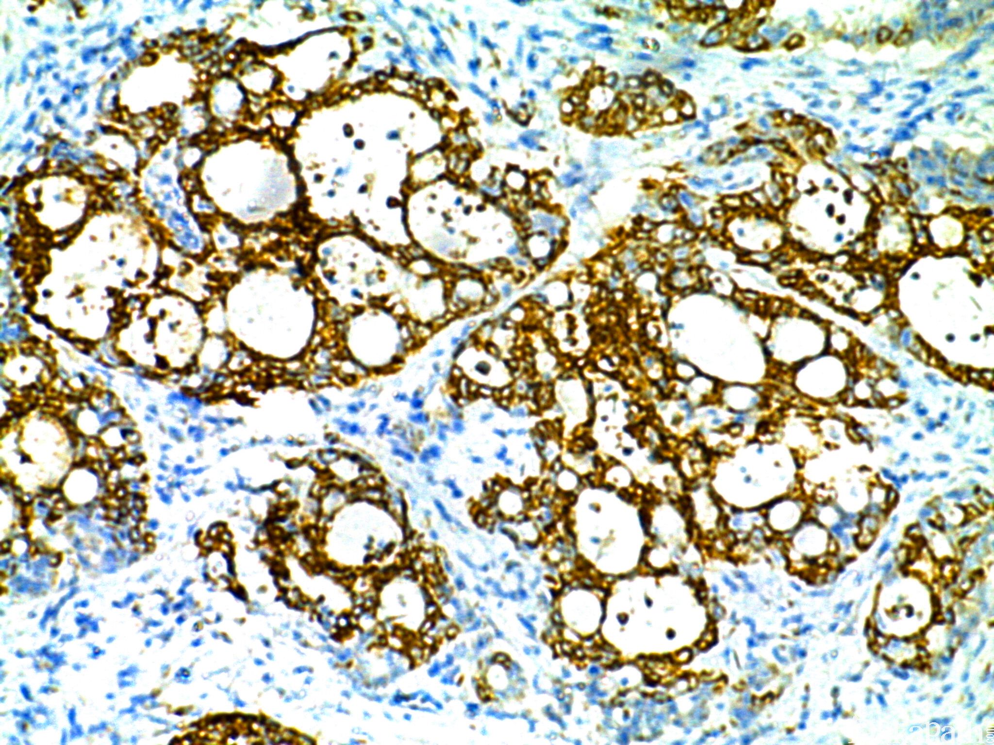
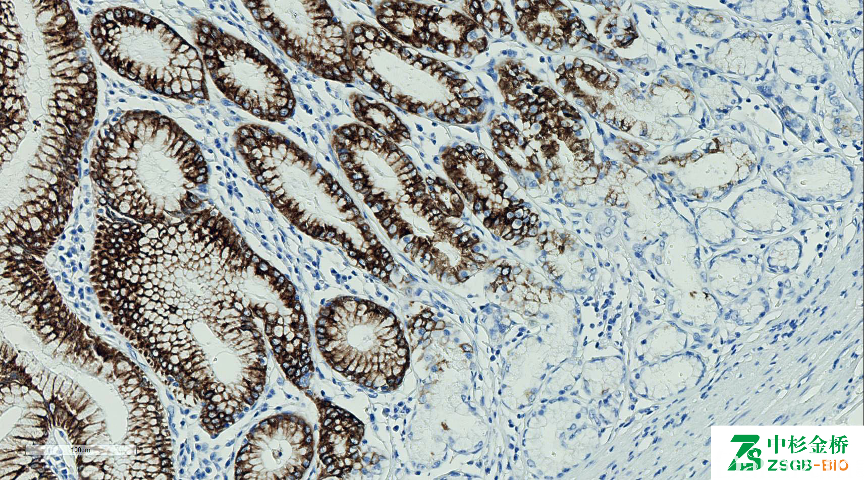
正常只表达于胃型上皮(包括壶腹),又称胃型黏液。MUC 系列用于黏液性肿瘤黏液上皮分化类型的鉴别。
信号定位: 胞质
在病理学中的应用:
腺癌的鉴别诊断,特异性差;
乳腺外 paget 病的诊断。
商品化试剂(排名不分先后,本网站对抗体质量不负责!)
公司 | 克隆号 | 即用型(ml) | 原液(ml) | ||||
基因科技 | 45M1 | / | 2 | 4 | 7 | / | 0.2 |
赛诺特 | MRQ-19 | 1 | 3 | 6 | / | 0.1 | 0.2 |
中杉金桥 | MRQ-19 | 1.5 | 3 | 6 | / | 0.1 | 0.2 |
安必平 | MRQ-19 | 1.5 | 3 | 6 | / | 0.1 | 0.2 |
在肿瘤中的表达情况:
几乎全部阳性(≥95%的病例阳性): 鼻窦印戒细胞癌、胃幽门腺腺瘤、胰腺导管内管状腺瘤,幽门腺型、胰腺导管内乳头状癌、胰腺导管内乳头状癌伴浸润成分、胰腺交界性导管内乳头状瘤、胰腺嗜酸细胞型导管内乳头状癌、胰腺嗜酸细胞型导管内乳头状癌伴浸润成分、胰腺黏液性非囊性癌、胰腺导管内乳头状肿瘤、卵巢黏液性交界性肿瘤/非典型增生性黏液性肿瘤、卵巢黏液性囊腺瘤、卵巢黏液性癌、胰腺导管内乳头状黏液性肿瘤、胰腺黏液性囊腺癌、乳腺外 Paget 病、胰腺低度恶性潜能黏液性囊腺癌、肺贴壁型腺癌,黏液性、胆管内乳头状肿瘤、卵巢交界性黏液性肿瘤,胃肠型、胰腺高级别上皮内瘤变
通常阳性(<95%,≥75%的病例阳性): 胰腺黏液性囊性肿瘤、鼻窦腺癌,非肠型、结直肠黏液性腺癌、胆囊腺瘤、胰腺导管腺癌
经常阳性(<75%,≥55%的病例阳性): 胃腺癌,弥漫性、阑尾腺癌、黏液表皮样癌、胃印戒细胞癌、壶腹腺癌,胰胆管型、胰腺腺癌、食管腺癌、胆管癌、宫颈腺癌,非特指型、肺印戒细胞癌、胰腺低级别上皮内瘤变、胆管内乳头状-管状肿瘤
有时阳性(<55%,≥35%的病例阳性): 胃腺癌,肠型、壶腹腺癌,肠型、肺贴壁型腺癌、胆囊腺癌、乳腺浸润性癌,非特殊类型、小肠腺癌、胰胆管腺癌、结直肠印戒细胞癌、胃黏液腺癌、胃腺癌
少数阳性(<35%,≥15%的病例阳性): 结直肠腺癌、鼻窦腺癌,肠型、低级别阑尾黏液性肿瘤、乳腺黏液癌、涎腺黏液性腺癌、壶腹腺癌、乳腺 Paget 病、肺浸润性黏液腺癌、肺肠型腺癌、肛周 Paget 病、肺腺癌
偶尔阳性(<15%,≥5%的病例阳性): 膀胱尿路上皮癌、乳腺化生性癌、肝混合性肝细胞胆管癌、阑尾囊腺瘤、子宫内膜腺癌、肝内胆管细胞癌、乳腺浸润性小叶癌、肛管腺癌、乳腺癌伴印戒细胞样细胞分化
几乎全部阴性(<5%的病例阳性): 子宫内膜腺癌 I-II 级、前列腺腺泡性癌、肝细胞癌、肾上腺皮质癌、肾细胞癌、肺鳞状细胞癌、胰腺多发性浆液性囊性肿瘤,Von Hippel-Lindau 相关、皮肤黏液癌、胰腺局限性浆液性寡囊腺瘤、胃腺癌,主细胞分化、胰腺导管内管状乳头状肿瘤、阑尾印戒细胞癌