Myogenin

别名: F5D;MYF3;MYF4;肌浆蛋白
概述:
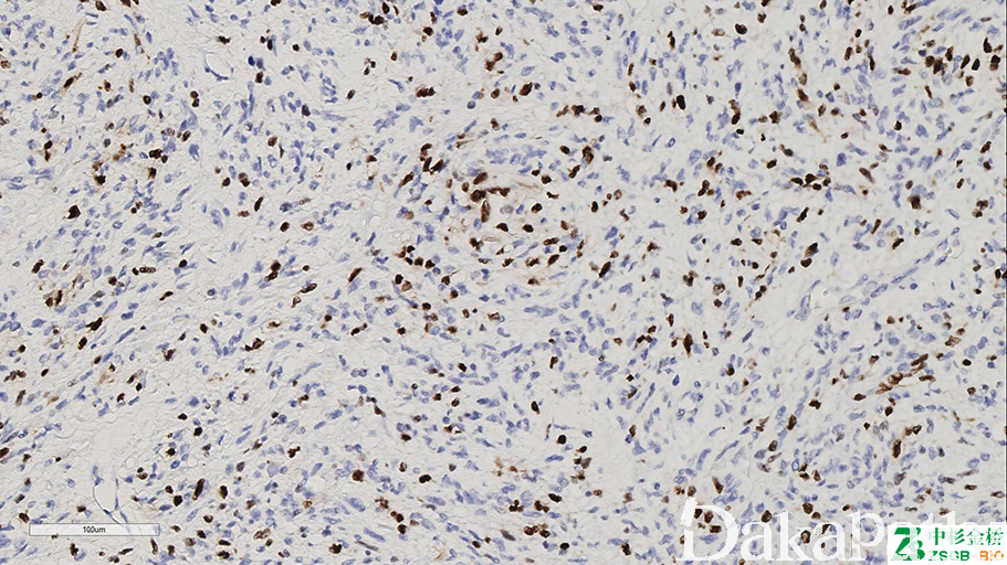
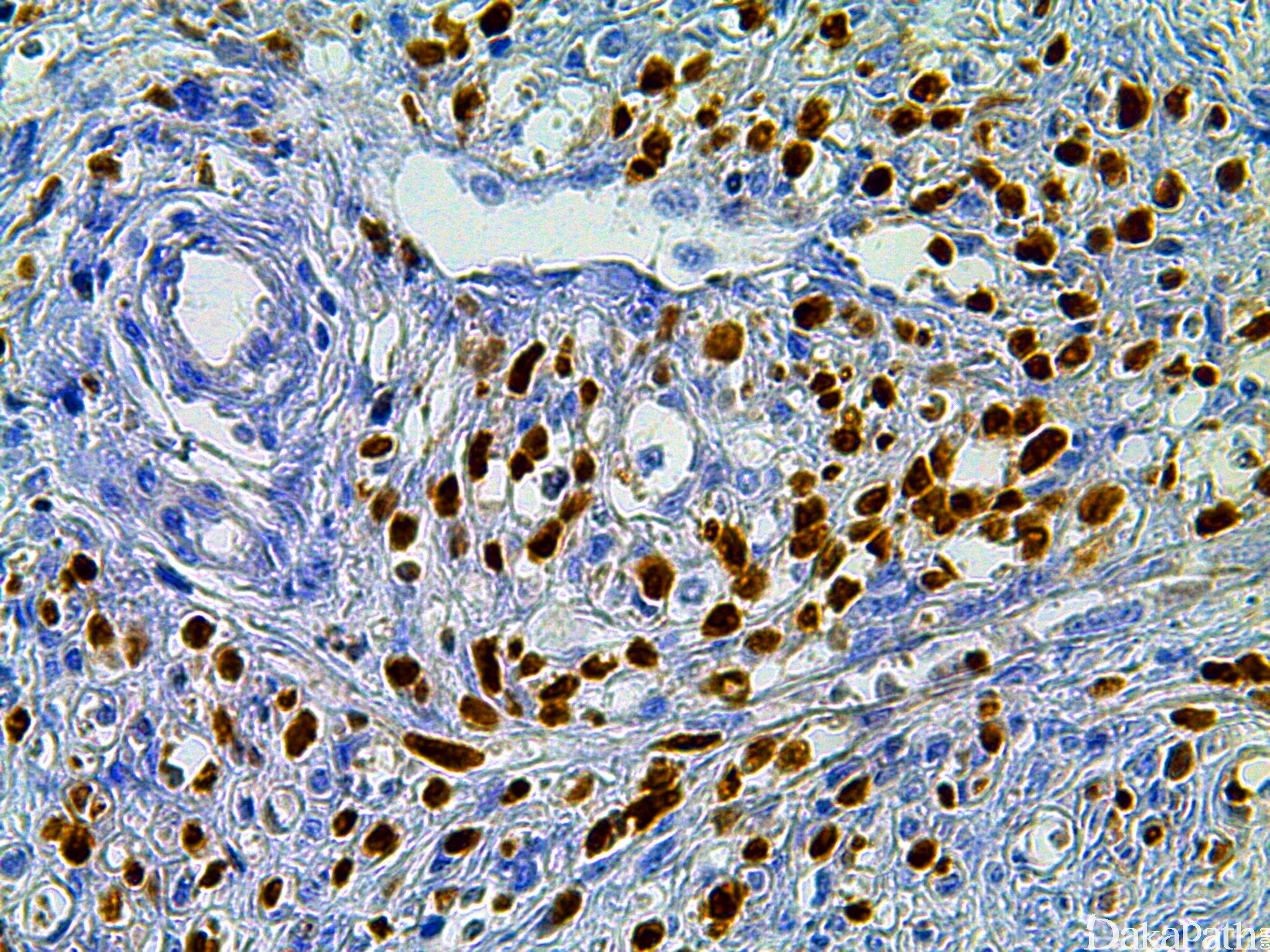
肌源性转录调节蛋白,仅在有横纹肌分化的细胞有表达且胞浆分化越明显的细胞表达越弱。
信号定位: 胞核
在病理学中的应用:
横纹肌肉瘤的诊断及鉴别诊断;
Wilm 瘤呈核阳性表达;
尤文肉瘤/PNET、神经母细胞瘤及成人的横纹肌无表达。
商品化试剂(排名不分先后,本网站对抗体质量不负责!)
公司 | 克隆号 | 即用型(ml) | 原液(ml) | ||||
基因科技 | F5D | 1 | 2 | 4 | 7 | / | 0.2 |
赛诺特 | F5D | 1 | 3 | 6 | / | 0.1 | 0.2 |
中杉金桥 | F5D | 1.5 | 3 | 6 | / | 0.1 | 0.2 |
EP162 | |||||||
安必平 | F5D | 1.5 | 3 | 6 | / | 0.1 | 0.2 |
福建迈新 | F5D | 1.5 | 3 | 6 | / | 0.1 | 0.2 |
在肿瘤中的表达情况:
几乎全部阳性(≥95%的病例阳性): 腺泡状横纹肌肉瘤、葡萄状横纹肌肉瘤、上皮样横纹肌肉瘤、胚胎性横纹肌肉瘤
通常阳性(<95%,≥75%的病例阳性): 横纹肌肉瘤,NOS
经常阳性(<75%,≥55%的病例阳性): 多形性横纹肌肉瘤
少数阳性(<35%,≥15%的病例阳性): 肾母细胞瘤、深部韧带样纤维瘤病、婴幼儿纤维肉瘤
几乎全部阴性(<5%的病例阳性): 肾细胞癌伴 t(6;11)(p21;q12)、恶性黑色素瘤、纤维肉瘤、平滑肌肉瘤,NOS、神经鞘膜瘤,NOS、上皮样间皮瘤、未分化多形性肉瘤、恶性外周神经鞘膜瘤、Burkitt 淋巴瘤、恶性孤立性纤维性肿瘤、腺泡状软组织肉瘤、原始神经外胚层瘤、膀胱肉瘤样尿路上皮癌、尤文肉瘤、孤立性浆细胞瘤、促结缔组织增生性小圆细胞肿瘤、骨外黏液性软骨肉瘤、神经母细胞瘤、纤维瘤病、炎性假瘤、血管肉瘤、透明细胞肉瘤、结节性筋膜炎、急性髓系白血病(M4)、血管瘤样恶性纤维组织细胞瘤、间叶性软骨肉瘤、节细胞神经瘤、小细胞性骨肉瘤、生殖细胞肿瘤,非胚胎型、血管肌纤维母细胞瘤、上皮样炎性纤维母细胞肉瘤、嗅神经母细胞瘤、横纹肌样瘤、软骨母细胞瘤,NOS、滑膜肉瘤、上皮样肉瘤、平滑肌瘤