P16

别名: MTS1, CDKN2A;DCS-50;E6H4
概述:
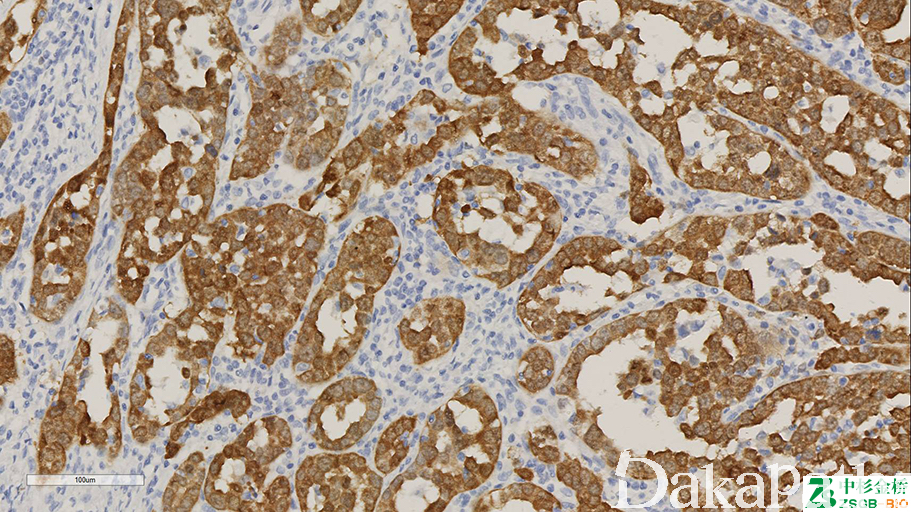
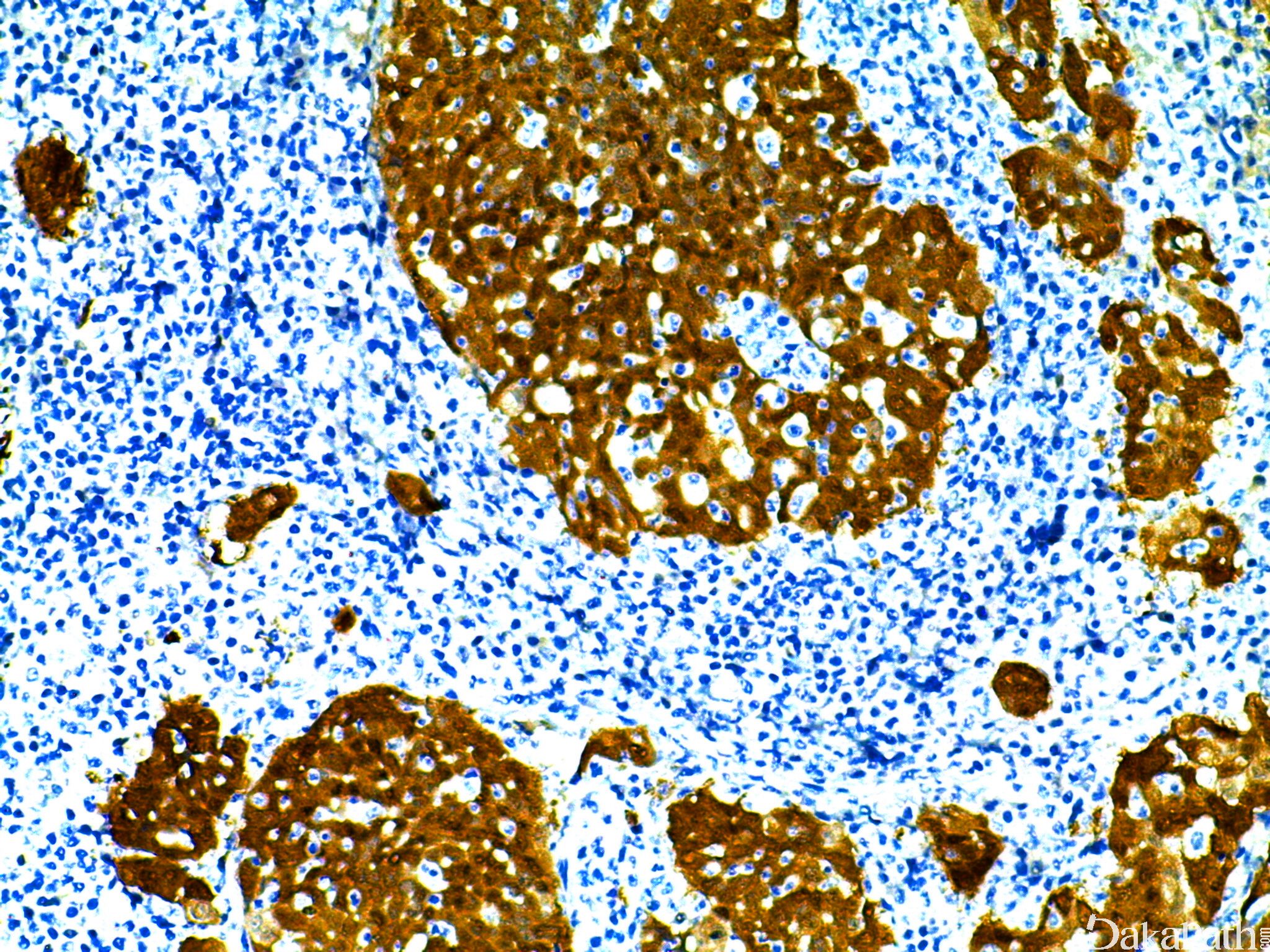
抑癌基因,在调节 G1-S 期过程中起着关键作用。周期素依赖性激酶(CDK4 和 CDK6)抑制剂,核高表达可阻止细胞从 G1 期进入 S 期。肿瘤细胞 P16 表达可丢失,但在 CIN 病变时,HPV 的 E7 蛋白可抑制 Rb 基因活性,导致 P16 合成异常增加,表现为 P16 蛋白的异常核及胞浆阳性。
信号定位: 胞质、胞核
在病理学中的应用:
宫颈高级别鳞状上皮病变与化生、萎缩等的鉴别;
去分化脂肪肉瘤的敏感标记。
商品化试剂(排名不分先后,本网站对抗体质量不负责!)
公司 | 克隆号 | 即用型(ml) | 原液(ml) | ||||
基因科技 | G175-405 | 1 | 2 | 4 | 7 | 0.2 | 1 |
中杉金桥 | ABM51100-10 | 1.5 | 3 | 6 | / | 0.1 | 0.2 |
安必平 | 6H12 | 1.5 | 3 | 6 | / | 0.1 | 0.2 |
福建迈新 | MX007 | 1.5 | 3 | 6 | / | / | 0.2 |
6H12 | 1.5 | 3 | 6 | / | 0.1 | 0.2 | |
在肿瘤中的表达情况:
几乎全部阳性(≥95%的病例阳性): 细胞性神经鞘瘤、隆突性皮肤纤维肉瘤、中肾残留增生、滤泡性淋巴瘤 I 级、恶性混合性苗勒管肿瘤、淋巴细胞性甲状腺炎(乔本甲状腺炎)、肺 NUT 癌、甲状腺乳头状癌、经典型霍奇金淋巴瘤、鼻窦未分化癌、梭形和上皮样细胞痣、Kaposi 肉瘤、纤维瘤病、宫颈浆液性癌、宫颈腺癌,透明细胞型、宫颈腺鳞癌、视网膜母细胞瘤,NOS、脾脏边缘区淋巴瘤、腺样基底细胞癌、低级别软骨肉瘤、内翻性乳头状瘤、宫颈原位腺癌、脂肪母细胞瘤、神经纤维肉瘤、胆囊上皮内瘤变 III 级、肛门小细胞癌、鲍温样丘疹病、鳞状细胞原位癌
通常阳性(<95%,≥75%的病例阳性): 宫颈高级别鳞状上皮内病变、胃胃肠道间质瘤、混合性少突-星形细胞瘤、恶性黑色素瘤、宫颈鳞状细胞癌、非浸润性乳头状尿路上皮癌,低级别、膀胱原位尿路上皮癌、非浸润性乳头状尿路上皮癌,高级别、非典型性脂肪瘤性肿瘤、尤文肉瘤、去分化脂肪肉瘤、乳腺恶性叶状肿瘤、阴道鳞状细胞癌、间皮增生、宫颈子宫内膜样癌、耳鼻喉神经内分泌癌、胆囊腺癌、宫颈腺癌,非特指型、子宫内膜浆液性癌、肛管鳞状细胞癌、肛管鳞状细胞癌、非典型平滑肌瘤、宫颈腺癌,肠型、宫颈原位鳞状细胞癌、卵巢混合性浆液与子宫内膜样腺癌、角化棘皮瘤、丛状神经纤维瘤
经常阳性(<75%,≥55%的病例阳性): 输卵管原位癌、耳鼻喉乳头状鳞状细胞癌、弥漫大 B 型大 B 细胞淋巴瘤,非特指型、结直肠腺癌、纤维肉瘤、平滑肌肉瘤,NOS、尿路上皮异型增生、膀胱尿路上皮癌、中肾癌、卵巢高级别浆液性癌、乳腺交界性叶状肿瘤、子宫癌肉瘤、外阴基底细胞癌、间叶性软骨肉瘤、边缘区 B 细胞淋巴瘤、子宫内膜腺癌、基底样鳞状细胞癌、耳鼻喉非角化性鳞状细胞癌、涎腺腺淋巴瘤、胰腺高级别上皮内瘤变、大细胞神经内分泌癌、胃腺癌、直肠鳞状细胞癌、前列腺导管腺癌、乳腺浸润性小叶癌、宫颈腺癌,胃型
有时阳性(<55%,≥35%的病例阳性): Schneiderian 乳头状瘤、耳鼻喉角化型鳞状细胞癌、皮肤鳞状细胞癌、鼻窦腺癌,肠型、前列腺腺泡性癌、未分化多形性肉瘤、中间型滋养细胞肿瘤、食管鳞状细胞癌、肺大细胞癌、胃肠道间质瘤、血管肉瘤、恶性潜能未定的平滑肌肿瘤、子宫内膜透明细胞癌、肝母细胞瘤、胆管癌、胰腺低级别上皮内瘤变、上皮样肉瘤、多形性脂肪瘤、阴经鳞状细胞癌、宫颈低级别鳞状上皮内病变、胰腺导管腺癌
少数阳性(<35%,≥15%的病例阳性): 黏液性/圆细胞脂肪肉瘤、外阴上皮内瘤变、卵巢子宫内膜样癌、胰腺上皮内肿瘤、子宫内膜腺癌,III 级、恶性外周神经鞘膜瘤、子宫内膜间质肿瘤、软骨肉瘤、上皮样多形性脂肪肉瘤、甲状腺癌显示胸腺样分化、卵巢低级别浆液性癌、耳鼻喉鳞状细胞癌、肺鳞状细胞癌、乳腺良性叶状肿瘤、外阴鳞状细胞癌、宫颈微偏腺癌、阴茎肉瘤样癌、滑膜肉瘤、去分化软骨肉瘤、梭形细胞脂肪瘤、坏死性涎腺化生、涎腺小管腺瘤、肌间脂肪瘤、疣状异型增生
偶尔阳性(<15%,≥5%的病例阳性): 喉/下咽部基底样鳞状细胞癌、下咽鳞状细胞癌、子宫内膜腺癌 I-II 级、横纹肌肉瘤,NOS、胰腺实性假乳头状肿瘤、透明细胞软骨肉瘤、卵巢透明细胞癌、冬眠瘤、平滑肌瘤、疣状癌
几乎全部阴性(<5%的病例阳性): 皮肤基底细胞癌、多形性脂肪肉瘤、阑尾腺癌、卵巢黏液性癌、宫颈微腺体增生、脊索瘤、胰腺腺鳞癌、脂肪瘤、膀胱鳞状细胞癌、胰胆管腺癌、宫颈鳞状上皮化生、阴茎腺鳞癌、神经内分泌肿瘤、浆细胞骨髓瘤,浆母细胞性