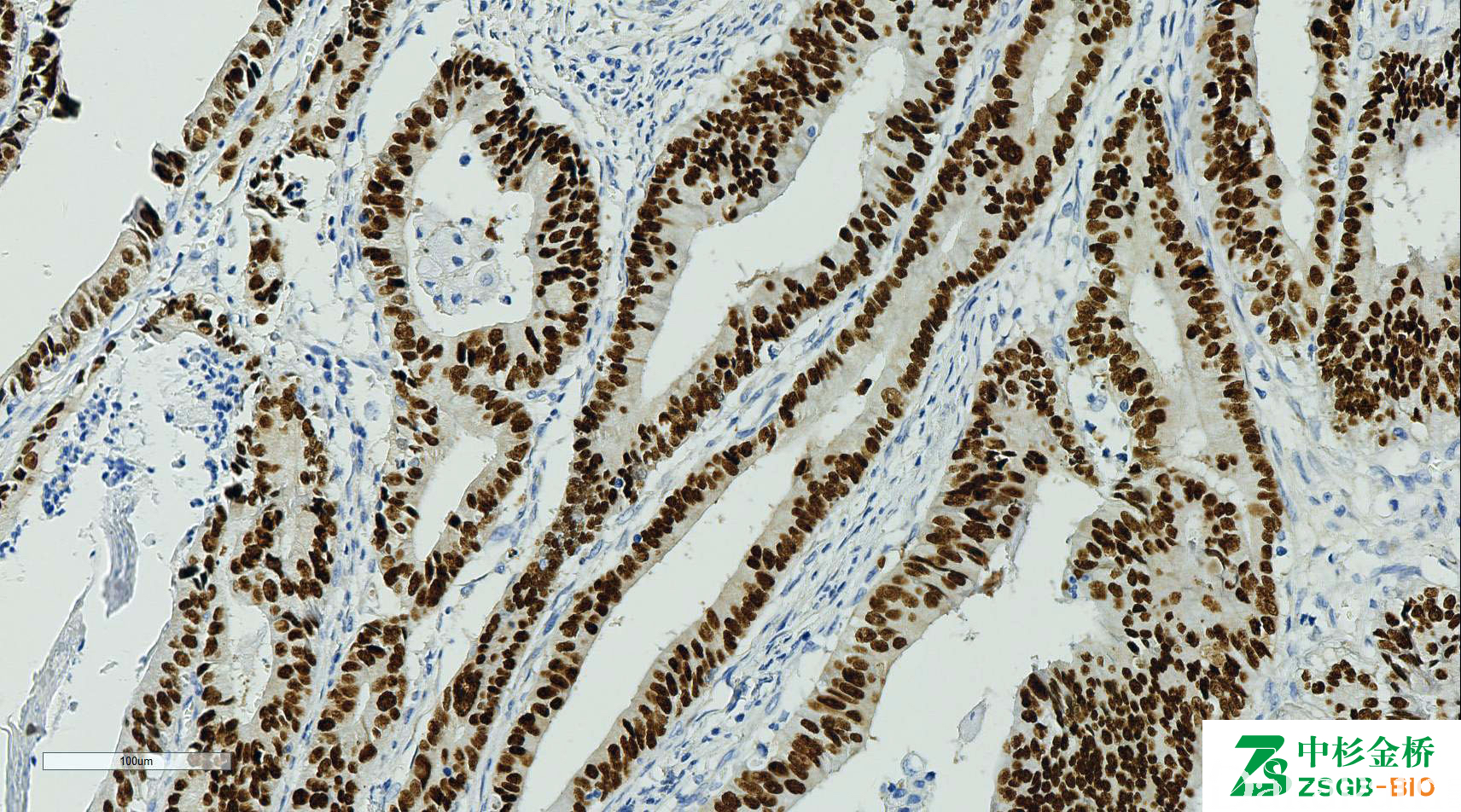
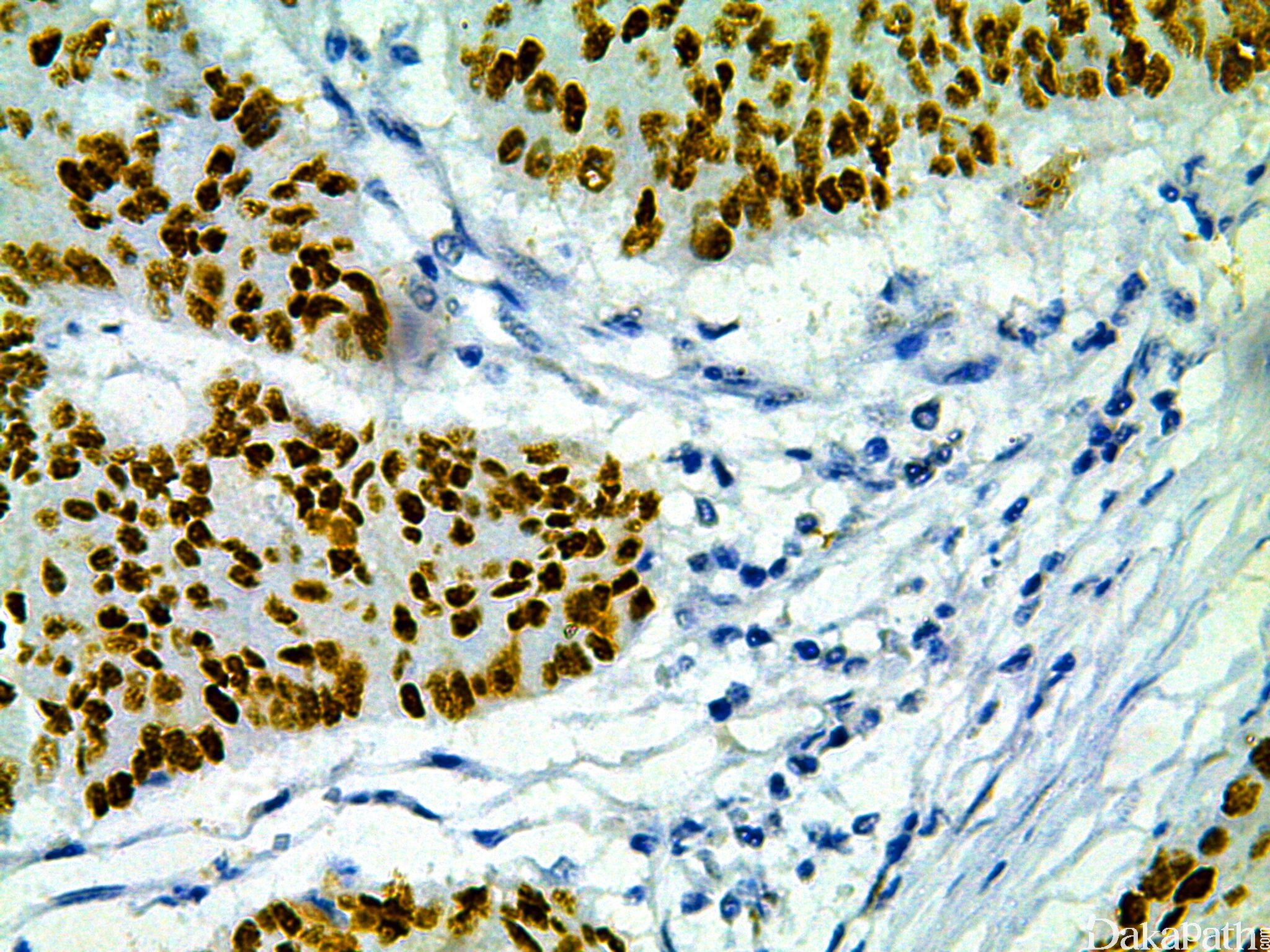
P53

别名: AB6;MU195;BP53-12-1;CM1,;DO1;RSP53
概述:
肿瘤抑制基因,位于 17p13,确保细胞分裂前损伤的 DNA 达到修复。其突变是人类肿瘤常见的遗传学异常,野生型蛋白半衰期很短,免疫组化检测不到,突变后蛋白半衰期延长,在细胞核中聚集,可通过免疫组织化学方法检测。
信号定位: 胞核
在病理学中的应用:
- 突变是多数肿瘤预后不良指标(主要用于乳腺癌);
- 协助鉴别诊断恶性病变(原位癌与、浸润性癌)与反应性病变,特别是尿路上皮原位癌与反应性增生;
- 子宫浆液性癌(弥漫强+)与子宫内膜样癌(-)鉴别诊断。
商品化试剂(排名不分先后,本网站对抗体质量不负责!)
公司 | 克隆号 | 即用型(ml) | 原液(ml) | ||||
基因科技 | DO-7 | 1 | 2 | 4 | 7 | 0.2 | / |
BP-53-12 | 1 | 2 | 4 | 7 | 0.2 | 1 | |
中杉金桥 | BP53.12 | 1.5 | 3 | 6 | / | 0.1 | 0.2 |
DO-7 | |||||||
EP9 | |||||||
安必平 | DO7 | 1.5 | 3 | 6 | / | 0.1 | 0.2 |
Kp10 | |||||||
福建迈新 | SP5 | / | / | / | / | / | 0.2 |
DO7 | / | 3 | 6 | / | / | / | |
MX008 | 1.5 | 3 | 6 | / | / | 0.2 | |
在肿瘤中的表达情况:
几乎全部阳性(≥95%的病例阳性): 食管癌肉瘤、鼻窦印戒细胞癌、卵巢子宫内膜样交界性肿瘤/非典型增生性子宫内膜样肿瘤、中肾癌、涎腺母细胞瘤、髓母细胞瘤,NOS、甲状腺癌显示胸腺样分化、黏液表皮样癌、鼻咽癌,角化性、膀胱透明细胞癌、宫颈浆液性癌、卵巢恶性 brenner 瘤、宫颈微腺体增生、低级别平滑肌肉瘤、交指状树突状细胞肿瘤、胶质肉瘤,胶质成分、胶质肉瘤,肉瘤成分、基底样鳞状细胞癌、节细胞胶质瘤、NK 细胞淋巴瘤、宫颈淋巴上皮瘤样癌、横纹肌样多形性胶质母细胞瘤、上皮样多形性胶质母细胞瘤、胆囊上皮内瘤变 III 级、阴茎腺鳞癌
通常阳性(<95%,≥75%的病例阳性): 细胞性神经鞘瘤、非典型输卵管化生、输卵管原位癌、喉/下咽部基底样鳞状细胞癌、角化性囊性牙源性肿瘤,上皮、胃腺癌,肠型、皮脂腺腺癌、鼻窦腺癌,肠型、皮肤基底细胞癌、孤立性纤维性肿瘤、膀胱原位尿路上皮癌、胸腺基底细胞样癌、经典型霍奇金淋巴瘤、涎腺导管腺癌、卵巢低级别浆液性癌、宫颈腺癌,透明细胞型、小汗腺汗孔瘤、子宫内膜透明细胞癌、食管腺癌、宫颈微偏腺癌、阴茎肉瘤样癌、鼻窦腺癌,非肠型、胶质母细胞瘤,NOS、淋巴细胞消减型经典型霍奇金淋巴瘤、混合细胞型经典型霍奇金淋巴瘤、结节硬化型经典型霍奇金淋巴瘤、上皮样肉瘤、子宫内膜浆液性癌、室管膜母细胞瘤、甲状腺未分化癌、甲状腺嗜酸细胞腺瘤、涎腺小管腺瘤、大汗腺上皮肌上皮癌、前列腺导管腺癌、卵巢混合性浆液与子宫内膜样腺癌、疣状癌
经常阳性(<75%,≥55%的病例阳性): 输卵管浆液性上皮内癌、Schneiderian 乳头状瘤、外阴上皮内瘤变、胃腺癌,弥漫性、上皮样间皮瘤、宫颈鳞状细胞癌、弥漫大 B 细胞淋巴瘤,生发中心细胞来源、恶性外周神经鞘膜瘤、恶性混合性苗勒管肿瘤、良性胸腺瘤、耵聍腺癌、星形细胞瘤,高分化、肺大细胞癌、肾横纹肌样肾细胞癌,非横纹肌样成分、恶性混合性苗勒管肿瘤,间质成分、去分化脂肪肉瘤、乳腺浸润性微乳头状癌、甲状腺间变性癌、卵巢高级别浆液性癌、乳腺恶性叶状肿瘤、淋巴瘤、炎性假瘤、套细胞淋巴瘤,母细胞型、宫颈透明细胞癌、外阴鳞状细胞癌、肝母细胞瘤、恶性嗜铬细胞瘤、鲍温病、间变性星形细胞瘤、高分化乳头状间皮瘤、嗅神经母细胞瘤、胰腺腺鳞癌、结直肠黏液性腺癌、乳腺 Paget 病、乳腺伴大汗腺分化的癌、皮肤小汗腺腺癌、小汗腺汗孔癌、腹膜原发性腺癌、弥漫性纤维型星形细胞瘤、去分化软骨肉瘤、卵巢浆液性癌、大细胞神经内分泌癌、胰胆管囊腺癌伴间叶性间质,黏液、肛管鳞状细胞癌、肛管鳞状细胞癌、乳腺大汗腺型导管原位癌、非典型性脑膜瘤、浸润性微乳头涎腺导管癌、食管基底样鳞状细胞癌、腺样囊腺癌,去分化、脂肪肉瘤、尿路淋巴上皮瘤样癌、乳腺浸润性小叶癌、宫颈低级别鳞状上皮内病变、宫颈腺癌,胃型、乳腺髓样癌、角化棘皮瘤、非典型性乳腺髓样癌、胰腺导管腺癌、浆细胞骨髓瘤,浆母细胞性
有时阳性(<55%,≥35%的病例阳性): 宫颈高级别鳞状上皮内病变、喉鳞状细胞癌、下咽鳞状细胞癌、卵巢子宫内膜样癌、弥漫大 B 型大 B 细胞淋巴瘤,非特指型、脉络丛癌、皮肤鳞状细胞癌、结直肠腺癌、乳腺产间质癌、恶性黑色素瘤、肌上皮癌、平滑肌肉瘤,NOS、间皮瘤,NOS、未分化多形性肉瘤、膀胱尿路上皮癌、睾丸混合性生殖细胞肿瘤、B 淋巴母细胞白血病/淋巴瘤、食管鳞状细胞癌、鼻窦未分化癌、嗜铬细胞瘤、涎腺导管癌、胃肠道间质瘤、膀胱肉瘤样尿路上皮癌、恶性混合性苗勒管肿瘤,上皮成分、肺贴壁型腺癌、葡萄状横纹肌肉瘤、涎腺腺泡细胞癌、耳鼻喉鳞状细胞癌、乳腺交界性叶状肿瘤、胚胎性癌、肺鳞状细胞癌、乳腺良性叶状肿瘤、睾丸精原细胞瘤、子宫癌肉瘤、胰腺腺癌、脊索瘤、间叶性软骨肉瘤、耳鼻喉神经内分泌癌、弥漫大 B 细胞淋巴瘤,非生发中心来源、恶性肌上皮瘤、壶腹腺癌、间皮瘤,双向分化、胆管癌、胆囊腺癌、胰腺黏液性囊腺癌、子宫内膜腺癌、皮肤 Merkel 细胞癌、胰腺低度恶性潜能黏液性囊腺癌、乳腺浸润性导管癌,高级别、结外 NK/T 细胞淋巴瘤,鼻型、甲状腺腺瘤、肺腺鳞癌、宫颈乳头状浆液性癌、宫颈原位腺癌、肝内胆管细胞癌、宫颈腺癌,非特指型、肺微乳头型腺癌、乳腺基底样癌,三阴性、脑膜瘤,血管母细胞性、前列腺高级别上皮内瘤变、间变性脑膜瘤、甲状腺嗜酸细胞腺癌、胃腺癌、阴经鳞状细胞癌、肝外胆管乳头状腺癌、肾源性腺瘤、浆母细胞性淋巴瘤、肺腺癌、乳腺导管原位癌,高级别、乳腺多形性小叶癌、乳腺微乳头状导管内癌
少数阳性(<35%,≥15%的病例阳性): 黏液性/圆细胞脂肪肉瘤、肌上皮瘤、横纹肌肉瘤,NOS、肝细胞癌、高级别子宫内膜间质肉瘤、滤泡性淋巴瘤 I 级、透明细胞肾细胞癌、Burkitt 淋巴瘤、非典型纤维黄色瘤、甲状腺滤泡性癌、乳腺导管原位癌、软骨肉瘤、腺样囊性癌、多形性平滑肌肉瘤、尤文肉瘤、腺泡状横纹肌肉瘤、梭形和上皮样细胞痣、间变性大细胞淋巴瘤,ALK 阴性、乳腺黏液癌、血管肉瘤、卵巢黏液性癌、皮脂腺上皮肌上皮癌、壶腹神经内分泌癌,高级别、室管膜瘤、套细胞淋巴瘤、乳腺外 Paget 病、乳腺浸润性癌,非特殊类型、滑膜肉瘤、卵巢浆液性交界性肿瘤/非典型增生性浆液性肿瘤、前列腺基底细胞癌、前列腺基底细胞增生、内翻性乳头状瘤、乳腺癌,腔 B 型、浆细胞骨髓瘤、组织细胞/树突状细胞肉瘤、胰腺高级别上皮内瘤变、巢状尿路上皮癌、坏死性涎腺化生、骨外骨肉瘤、鳞状细胞乳头状瘤、非典型平滑肌瘤、胆囊腺瘤、慢性淋巴细胞白血病/B 小淋巴细胞淋巴瘤、低级别骨肉瘤
偶尔阳性(<15%,≥5%的病例阳性): 微囊性附属器癌、前列腺腺泡性癌、胰腺腺泡细胞癌、低级别子宫内膜间质肉瘤、肾上腺皮质癌、上皮肌上皮癌、肾细胞癌、胰腺黏液性囊性肿瘤、甲状腺髓样癌、前列腺腺样囊腺癌,基底细胞、甲状腺乳头状癌、淋巴瘤样丘疹病、基底细胞腺瘤、卵巢黏液性交界性肿瘤/非典型增生性黏液性肿瘤、脑膜瘤,NOS、间皮增生、透明细胞软骨肉瘤、脾脏边缘区淋巴瘤、黏膜相关淋巴组织边缘区 B 细胞淋巴瘤、肾上腺嗜酸细胞性肾上腺皮质肿瘤、卵巢透明细胞癌、多形性胶质母细胞瘤、黏液性脂肪肉瘤、乳腺导管原位癌,低级别、胰腺导管内管状乳头状肿瘤、壶腹腺瘤、十二指肠腺瘤,非壶腹部、甲状旁腺非典型腺瘤、甲状旁腺癌、肺淋巴上皮瘤样癌、脑膜瘤,纤维型、乳腺导管内乳头状瘤、丛状神经纤维瘤
几乎全部阴性(<5%的病例阳性): 肾嫌色细胞癌、低度恶性潜能的乳头状尿路上皮肿瘤、胰腺导管内管状腺瘤,幽门腺型、皮脂腺腺瘤、血管周细胞瘤、乳头状肾细胞癌、副神经节瘤、类癌、甲状腺滤泡性腺瘤、化生性胸腺瘤,梭形细胞成分、胸腺化生性胸腺瘤,上皮成分、非典型性脂肪瘤性肿瘤、肾上腺皮脂腺瘤、孤立性浆细胞瘤、涎腺嗜酸细胞瘤、睾丸青春期后型卵黄囊瘤、乳头状汗腺腺瘤、骨外黏液性软骨肉瘤、皮内痣、卵巢无性细胞瘤、儿童 NK/T 细胞淋巴瘤,EBV+、透明细胞肉瘤、汗管瘤、卵巢黏液性囊腺瘤、小汗腺螺旋腺瘤、软骨样汗腺腺瘤、皮肤黏液癌、胰腺腺泡细胞囊腺瘤、甲状旁腺腺瘤、乳腺筛状癌、低级别软骨肉瘤、胆道腺瘤、腺瘤样瘤,NOS、乳腺浸润性导管癌,低级别、乳腺小管癌、皮肤大汗腺腺癌、卵巢成人颗粒细胞瘤、乳腺癌,腔 A 型、甲状腺滤泡型乳头状癌、黏液乳头状室管膜瘤、肾上腺皮质肿瘤,NOS、胃腺癌,主细胞分化、胆管内乳头状肿瘤、外周 T 细胞淋巴瘤、肝细胞腺瘤、胰腺低级别上皮内瘤变、血管中心性神经上皮肿瘤、室管膜下巨细胞星形细胞瘤、间变性大细胞淋巴瘤,ALK 阳性、胃腺瘤、肝局灶结节增生、透明细胞汗腺瘤、宫颈鳞状上皮化生、腺瘤性甲状腺肿、多形性腺瘤、大汗腺囊腺瘤、透明细胞汗腺癌、小汗腺圆柱瘤,良性或恶性不能确定、乳腺导管原位癌,中级别、乳腺柱状细胞变、丛状神经鞘瘤、上皮样神经鞘瘤