P57

别名: P57-KIP2;CDKN1C
概述:
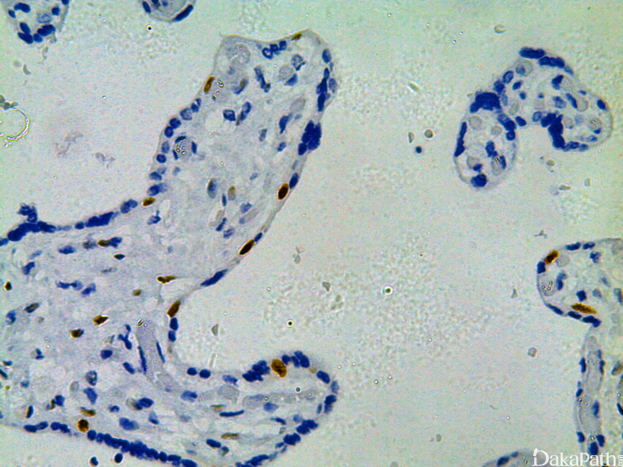
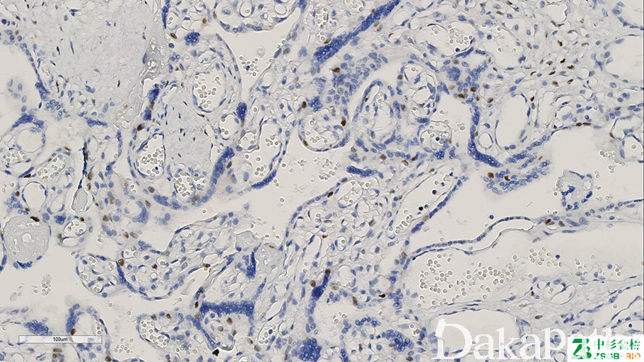
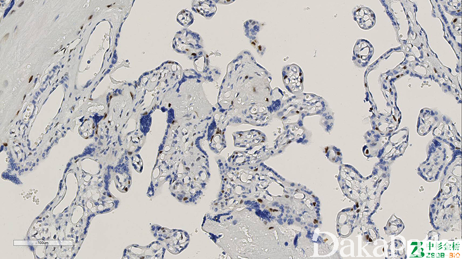
是一种细胞周期素依赖的激酶抑制剂和抑癌基因。蜕膜细胞阳性;正常胎盘细胞滋养叶细胞、中间型滋养叶细胞及绒毛间质细胞阳性;完全性葡萄胎时,细胞滋养叶细胞和绒毛间质细胞阴性。
信号定位: 胞核
在病理学中的应用:
完全性水泡状胎块(阴性)与部分性水泡状胎块及绒毛水肿的鉴别诊断。
- Differentiate complete hydatidiform mole (no nuclear DNA of maternal origin → p57kip2 underexpressed) vs. partial hydatidiform mole or spontaneous abortion (p57+, Am J Surg Pathol 2001;25:1225, Am J Clin Pathol 2010;133:196), but molecular genotyping may be helpful because complete moles are rarely p57+ (Am J Surg Pathol 2009;33:1409) and partial moles are rarely p57- (Am J Surg Pathol 2011;35:1586, Am J Surg Pathol 2009;33:805)
- Identifies maternal 11p15 loss (p57-) with paternal K(ATP) mutation as predominant causative mechanism of focal hyperinsulinism (Mod Pathol 2006;19:122)
商品化试剂(排名不分先后,本网站对抗体质量不负责!)
公司 | 克隆号 | 即用型(ml) | 原液(ml) | ||||
基因科技 | KP10 | 1 | 2 | 4 | 7 | / | 0.2 |
中杉金桥 | Kp10 | 1.5 | 3 | 6 | / | 0.1 | 0.2 |
福建迈新 | 57P06 | 1.5 | 3 | 6 | / | 0.1 | 0.2 |
多克隆 | 1.5 | 3 | 6 | / | / | 0.2 | |
在肿瘤中的表达情况:
几乎全部阳性(≥95%的病例阳性): 部分性水泡状胎块
经常阳性(<75%,≥55%的病例阳性): 甲状腺滤泡性腺瘤、甲状腺乳头状癌
几乎全部阴性(<5%的病例阳性): 完全性水泡状胎块