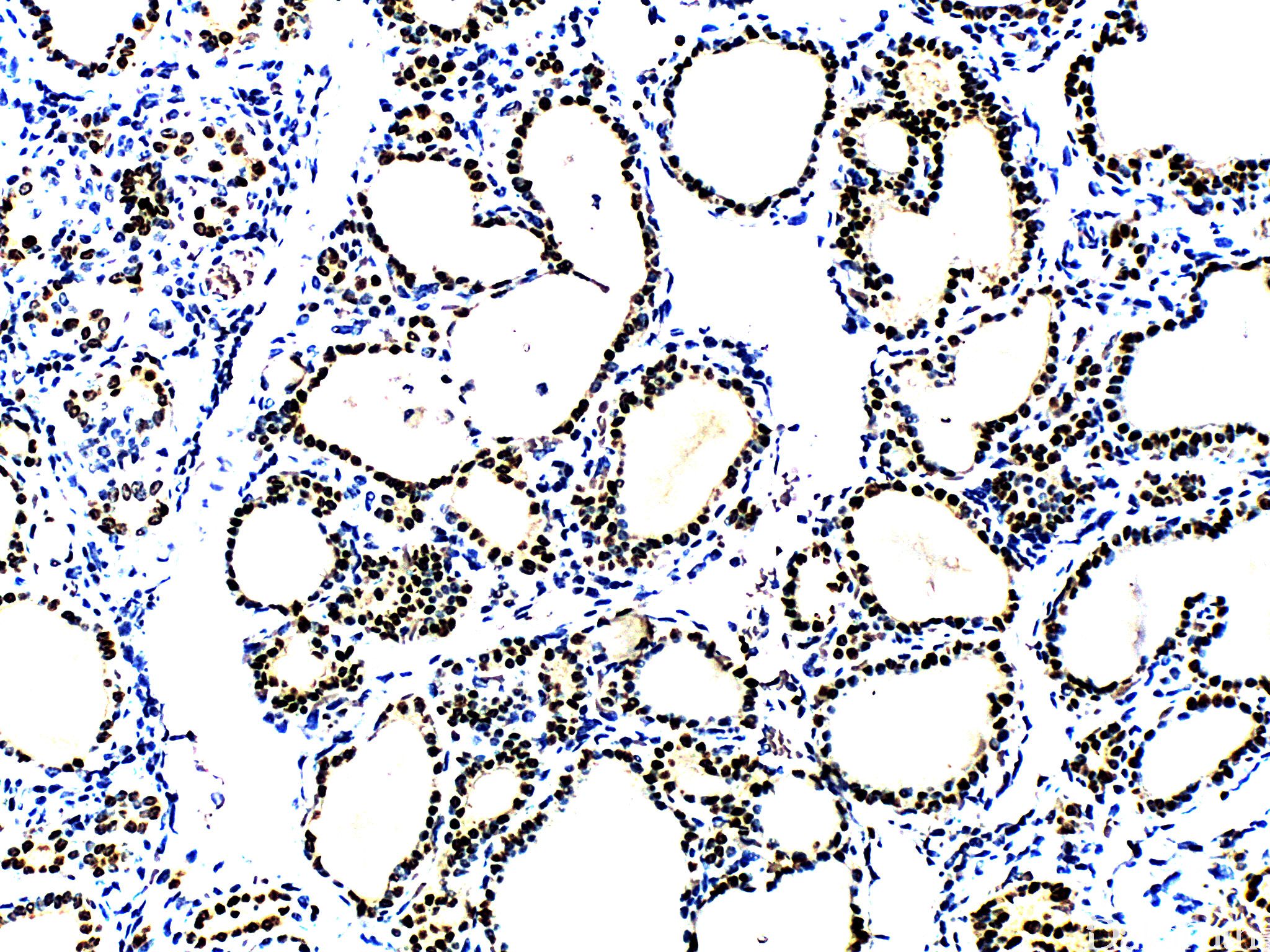
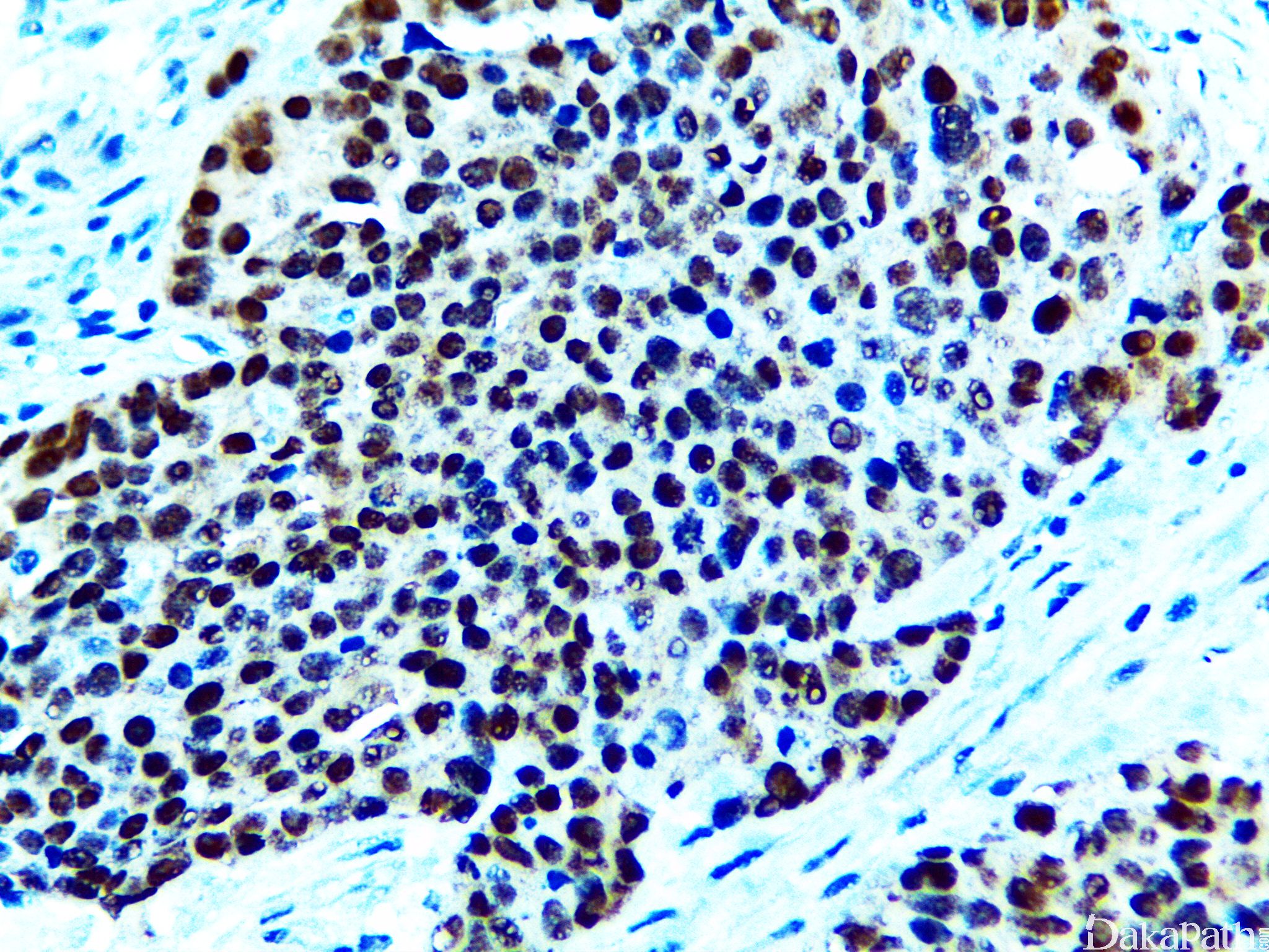
PAX8

别名: Paired box 8
概述:
核转绿因子,PAX(pair box gene)家族成员之一。表达于甲状腺、肾导管组织、副中肾管组织及相关肿瘤中,对于转移性肾细胞癌,PAX-8 的敏感性优于 CD10 和 RCC。
阳性表达主要见于肾肿瘤(肾细胞癌及肾集合管癌)、苗勒管肿瘤(80-85%)、甲状腺肿瘤;其它阳性表达肿瘤包括胸腺瘤/癌和胰腺神经内分泌肿瘤。
乳腺癌与肺癌通常阴性(少数病例局灶弱阳性),膀胱尿路上皮癌阴性,少数输尿管尿路上皮癌可阳性表达。
信号定位: 典型的为胞核阳性,胞质或包膜着色为非特异性着色。
在病理学中的应用:
肾细胞癌()+与尿路上皮癌的鉴别诊断;
肾细胞癌(+)与肾上腺皮质肿瘤的鉴别诊断;
间皮瘤(-)与女性生殖系统来源的浆液性癌(+)鉴别,不能鉴别是卵巢、输卵管、还是子宫来源;
转移性肺腺癌(-)及甲状腺癌(+)的鉴别;
肝脏内以透明细胞为主的肿瘤结节:转移性肾透明细胞癌(+),转移性肾上腺皮质腺癌(-),肝细胞癌(-),PEComa(-)。
商品化试剂(排名不分先后,本网站对抗体质量不负责!)
公司 | 克隆号 | 即用型(ml) | 原液(ml) | ||||
基因科技 | PAX-8 | 1 | 2 | 4 | 7 | / | 0.2 |
中杉金桥 | UMAB260 | 1.5 | 3 | 6 | / | 0.1 | 0.2 |
安必平 | MRQ-50 | 1.5 | 3 | 6 | / | 0.1 | 0.2 |
福建迈新 | 多克隆 | 1.5 | 3 | 6 | / | / | 0.2 |
在肿瘤中的表达情况:
几乎全部阳性(≥95%的病例阳性): 宫颈高级别鳞状上皮内病变、胸腺瘤,A 型、透明细胞乳头状肾细胞癌、乳头状肾细胞癌、肾混合性上皮和间质肿瘤,间质成分、肾细胞癌、透明细胞肾细胞癌、管囊性肾细胞癌、肾混合性上皮和间质肿瘤,上皮、甲状腺滤泡性腺瘤、子宫内膜腺癌,NOS、甲状腺滤泡性癌、甲状腺乳头状癌、良性胸腺瘤、甲状腺癌显示胸腺样分化、卵巢低级别浆液性癌、肾母细胞瘤、子宫内膜黏液腺癌、卵巢高级别浆液性癌、淋巴瘤、膀胱透明细胞癌、宫颈透明细胞癌、卵巢恶性 brenner 瘤、阴道透明细胞腺癌,DES 相关、肾横纹肌样肾细胞癌,横纹肌样成分、肾髓质癌、高分化乳头状间皮瘤、甲状旁腺腺瘤、卵巢透明细胞癌、甲状腺腺瘤、卵巢浆液性交界性肿瘤/非典型增生性浆液性肿瘤、肾混合性间质和上皮肿瘤、中肾腺瘤、囊性肾瘤、宫颈原位腺癌、卵巢浆液性癌、肾黏液管状和梭形细胞癌、肾源性腺瘤、卵巢表面上皮包涵腺体和囊肿
通常阳性(<95%,≥75%的病例阳性): 肾嫌色细胞癌、卵巢子宫内膜样癌、胸腺瘤,B 型、中肾癌、肾细胞癌伴 Xp11.2 异位、甲状腺间变性癌、子宫内膜腺癌、宫颈腺癌,非特指型、甲状腺岛状癌、甲状旁腺非典型腺瘤、卵巢混合性浆液与子宫内膜样腺癌、肾嗜酸细胞瘤
经常阳性(<75%,≥55%的病例阳性): 肾鳞状细胞癌、肉瘤样肾细胞癌
有时阳性(<55%,≥35%的病例阳性): 子宫内膜腺鳞癌、恶性混合性苗勒管肿瘤、甲状腺髓样癌、滑膜肉瘤,双向型、卵巢黏液性癌、MiT 家族易位肾细胞癌、性索间质肿瘤、甲状腺未分化癌
少数阳性(<35%,≥15%的病例阳性): 横纹肌肉瘤,NOS、支持-间质细胞肿瘤、胰腺实性假乳头状肿瘤、子宫内膜间质肿瘤、卵巢黏液性囊腺瘤、宫颈腺鳞癌、食管腺癌、滑膜肉瘤,单向分化,纤维型、宫颈黏液腺癌,非特指型
偶尔阳性(<15%,≥5%的病例阳性): 宫颈鳞状细胞癌、膀胱尿路上皮癌、纵膈精原细胞瘤、肺鳞状细胞癌、睾丸精原细胞瘤、膀胱浸润性尿路上皮癌、胰腺腺癌、胆管癌、卵巢成人颗粒细胞瘤、尿路上皮癌、肝透明细胞型肝细胞癌
几乎全部阴性(<5%的病例阳性): 食管黏液腺癌、喉鳞状细胞癌、肌上皮瘤、弥漫大 B 型大 B 细胞淋巴瘤,非特指型、皮肤鳞状细胞癌、子宫内膜鳞状细胞癌、结直肠腺癌、恶性黑色素瘤、肌上皮癌、皮脂腺腺癌、平滑肌肉瘤,NOS、上皮样间皮瘤、前列腺腺泡性癌、间皮瘤,NOS、尿路上皮异型增生、肝细胞癌、胰腺腺泡细胞癌、肾上腺皮质癌、上皮肌上皮癌、膀胱原位尿路上皮癌、肺透明细胞癌、乳腺导管原位癌、食管鳞状细胞癌、涎腺导管腺癌、肾上腺皮脂腺瘤、腺样囊性癌、嗜铬细胞瘤、肺大细胞癌、阑尾腺癌、胃肠道间质瘤、涎腺嗜酸细胞瘤、基底细胞腺瘤、肺贴壁型腺癌、涎腺腺泡细胞癌、黏液表皮样癌、耳鼻喉鳞状细胞癌、乳腺黏液癌、卵巢无性细胞瘤、血管肌脂肪瘤、胚胎性癌、垂体腺瘤、阴道鳞状细胞癌、卵巢纤维瘤、间皮增生、胎盘部位滋养细胞肿瘤、外阴鳞状细胞癌、肝母细胞瘤、血管母细胞瘤、生殖细胞肿瘤,非胚胎型、膀胱腺癌,非特指型、嗅神经母细胞瘤、结直肠黏液性腺癌、胆囊腺癌、胰腺黏液性囊腺癌、皮肤 Merkel 细胞癌、乳腺浸润性癌,非特殊类型、膀胱鳞状细胞癌、鼻窦腺癌,NOS、肺腺鳞癌、肺浸润性黏液腺癌、胰胆管腺癌、肾上腺皮质肿瘤,NOS、乳腺导管非典型增生、壶腹黏液性腺癌、膀胱黏液性癌、胃黏液腺癌、大细胞神经内分泌癌、肛管鳞状细胞癌、肛管鳞状细胞癌、涎腺小管腺瘤、胃腺癌、透明细胞牙源癌、阴经鳞状细胞癌、乳腺浸润性小叶癌、平滑肌瘤、多形性腺瘤、肺腺癌、胰腺导管腺癌