PSA

别名: 前列腺特异性抗原
概述:
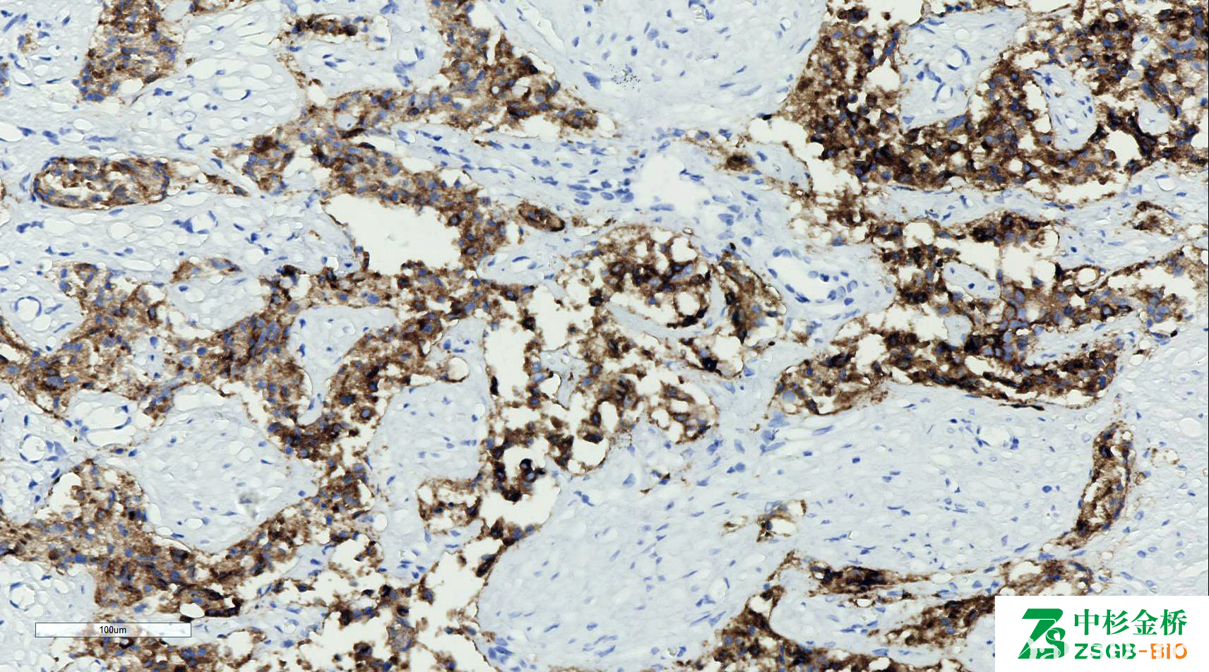
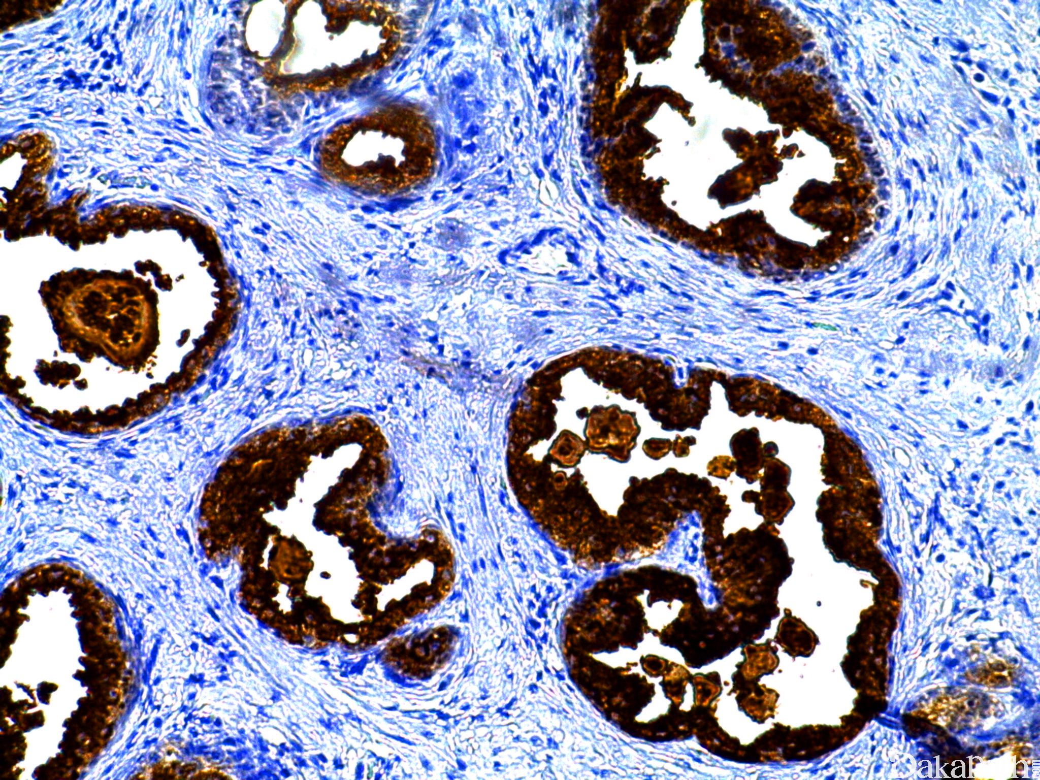
是人类血管舒缓素家族丝氨酸蛋白酶成员,几乎全部由前列腺导管和腺泡上皮产生。
信号定位: 胞质
在病理学中的应用:
- 转移癌原发部位的判断;
- 前列腺癌与尿路上皮癌的鉴别诊断;
- 前列腺癌与尿道、膀胱腺癌的鉴别诊断。
商品化试剂(排名不分先后,本网站对抗体质量不负责!)
公司 | 克隆号 | 即用型(ml) | 原液(ml) | ||||
基因科技 | 35H9 | / | 2 | 4 | 7 | / | 0.2 |
Poly | / | 2 | 4 | 7 | / | 0.2 | |
中杉金桥 | OTI1F8 | 1.5 | 3 | 6 | / | 0.1 | 0.2 |
安必平 | EP-PR8 | 1.5 | 3 | 6 | / | 0.1 | 0.2 |
福建迈新 | ER-PR8 | 1.5 | 3 | 6 | / | / | 0.2 |
在肿瘤中的表达情况:
几乎全部阳性(≥95%的病例阳性): 腺样囊性癌、前列腺导管腺癌、前列腺癌,≥gleason8 分
通常阳性(<95%,≥75%的病例阳性): 前列腺腺泡性癌、前列腺基底细胞增生
经常阳性(<75%,≥55%的病例阳性): 黏液表皮样癌、多形性腺瘤
少数阳性(<35%,≥15%的病例阳性): 前列腺腺样囊腺癌,基底细胞、甲状腺滤泡性癌、涎腺导管腺癌、甲状旁腺腺瘤
偶尔阳性(<15%,≥5%的病例阳性): 子宫内膜腺癌,NOS、卵巢黏液性癌、膀胱腺癌,非特指型、黄色瘤、涎腺腺瘤,NOS、弥漫性纤维型星形细胞瘤、胃腺癌
几乎全部阴性(<5%的病例阳性): 涎腺单形性腺瘤、结直肠腺癌、恶性黑色素瘤、平滑肌肉瘤,NOS、间皮瘤,NOS、肝细胞癌、膀胱尿路上皮癌、肾细胞癌、类癌、食管鳞状细胞癌、胃肠道间质瘤、鼻咽癌,角化性、乳腺黏液癌、纤维瘤病、炎性假瘤、肺鳞状细胞癌、膀胱透明细胞癌、胰腺腺癌、食管腺癌、局限性恶性间皮瘤、涎腺黏液性腺癌、皮肤黏液癌、肌纤维母细胞瘤、壶腹腺癌、胆管癌、子宫内膜腺癌、乳腺伴大汗腺分化的癌、乳腺浸润性癌,非特殊类型、甲状腺腺瘤、前列腺基底细胞癌、睾丸浆液性囊腺瘤、宫颈腺癌,非特指型、卵巢浆液性癌、前列腺产黏液腺癌,尿路上皮型、肛管鳞状细胞癌、肛管鳞状细胞癌、乳腺大汗腺型导管原位癌、肾源性腺瘤、脐尿管癌、肺腺癌、胰腺导管腺癌