PSMA

概述:
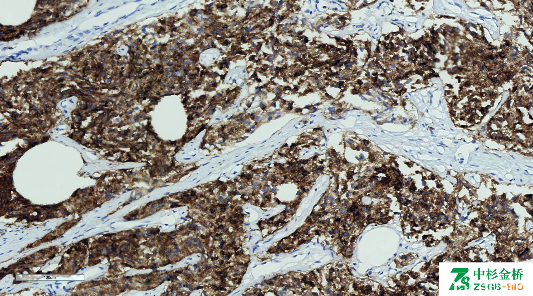
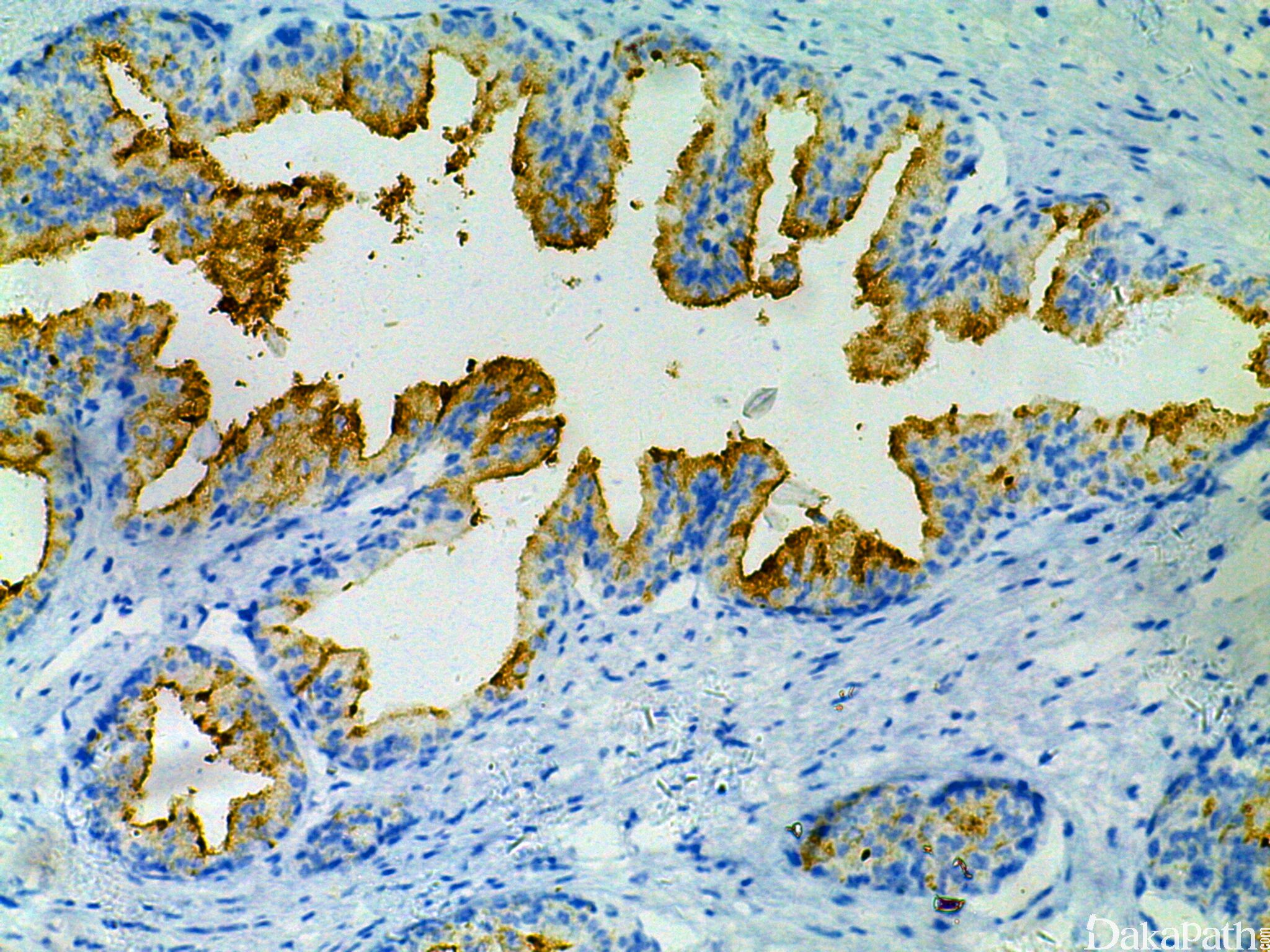
在前列腺癌中表达,正常前列腺或前列腺增生中阴性或仅少量弱表达。
信号定位: 胞质、胞膜
在病理学中的应用:
前列腺腺癌与尿路上皮癌及膀胱腺癌的鉴别诊断。
商品化试剂(排名不分先后,本网站对抗体质量不负责!)
公司 | 克隆号 | 即用型(ml) | 原液(ml) | ||||
基因科技 | SP29 | / | 2 | 4 | 7 | / | 0.2 |
中杉金桥 | 1D6 | 1.5 | 3 | 6 | / | 0.1 | 0.2 |
安必平 | 3E6 | 1.5 | 3 | 6 | / | 0.1 | 0.2 |
福建迈新 | 1D6 | 1.5 | 3 | 6 | / | / | 0.2 |
在肿瘤中的表达情况:
几乎全部阳性(≥95%的病例阳性): 卵巢卵黄囊瘤、胃腺癌
通常阳性(<95%,≥75%的病例阳性): 前列腺癌,≥gleason8 分
经常阳性(<75%,≥55%的病例阳性): barrett 食管、前列腺腺泡性癌
有时阳性(<55%,≥35%的病例阳性): 结直肠腺癌、淋巴上皮癌、膀胱绒毛状腺瘤、膀胱印戒细胞癌
少数阳性(<35%,≥15%的病例阳性): 胃腺癌,肠型、涎腺腺癌、间皮瘤,NOS、乳腺导管原位癌、肾上腺皮脂腺瘤、胰腺腺癌、食管腺癌、小肠腺癌
偶尔阳性(<15%,≥5%的病例阳性): 胃腺癌,弥漫性、皮肤鳞状细胞癌、乳头状肾细胞癌、肝细胞癌、膀胱尿路上皮癌、肾细胞癌、甲状腺髓样癌、甲状腺乳头状癌、食管鳞状细胞癌、膀胱肉瘤样尿路上皮癌、耳鼻喉鳞状细胞癌、膀胱腺癌,非特指型、胆囊腺癌、多形性胶质母细胞瘤、肺腺癌
几乎全部阴性(<5%的病例阳性): 肾嫌色细胞癌、基底细胞腺癌、卵巢子宫内膜样癌、弥漫大 B 型大 B 细胞淋巴瘤,非特指型、横纹肌肉瘤,NOS、纤维肉瘤、隆突性皮肤纤维肉瘤、平滑肌肉瘤,NOS、神经鞘膜瘤,NOS、血管周细胞瘤、未分化多形性肉瘤、肾上腺皮质癌、副神经节瘤、类癌、甲状腺滤泡性腺瘤、颗粒细胞瘤、甲状腺滤泡性癌、慢性髓系白血病、髓母细胞瘤,NOS、恶性神经鞘瘤、良性胸腺瘤、原始神经外胚层瘤、腺样囊性癌、涎腺腺鳞癌、嗜铬细胞瘤、胃肠道间质瘤、毛细血管瘤、肾母细胞瘤、血管球瘤、涎腺腺泡细胞癌、Kaposi 肉瘤、神经母细胞瘤、甲状腺间变性癌、黏液表皮样癌、神经纤维瘤、淋巴瘤、皮内痣、血管肉瘤、脑膜瘤,NOS、肺鳞状细胞癌、乳腺良性叶状肿瘤、睾丸精原细胞瘤、腱鞘巨细胞瘤、节细胞神经瘤、黏膜相关淋巴组织边缘区 B 细胞淋巴瘤、室管膜瘤、甲状旁腺腺瘤、皮肤 Merkel 细胞癌、腺瘤样瘤,NOS、脂肪瘤、乳腺浸润性癌,非特殊类型、膀胱鳞状细胞癌、滑膜肉瘤、少枝胶质细胞瘤、涎腺鳞状细胞癌、混合细胞型经典型霍奇金淋巴瘤、结节硬化型经典型霍奇金淋巴瘤、乳头状颅咽管瘤、纤维组织细胞瘤、脂肪肉瘤、肺小细胞癌、平滑肌瘤、多形性腺瘤、脐尿管癌、肾嗜酸细胞瘤