PTEN

别名: PN37;28H6;138G6
概述:
一种抑癌基因,几乎所有的正常体细胞都表达。Cowden 病时发生生殖细胞突变。体细胞突变可发生于多种肿瘤。
信号定位: 胞核
在病理学中的应用:
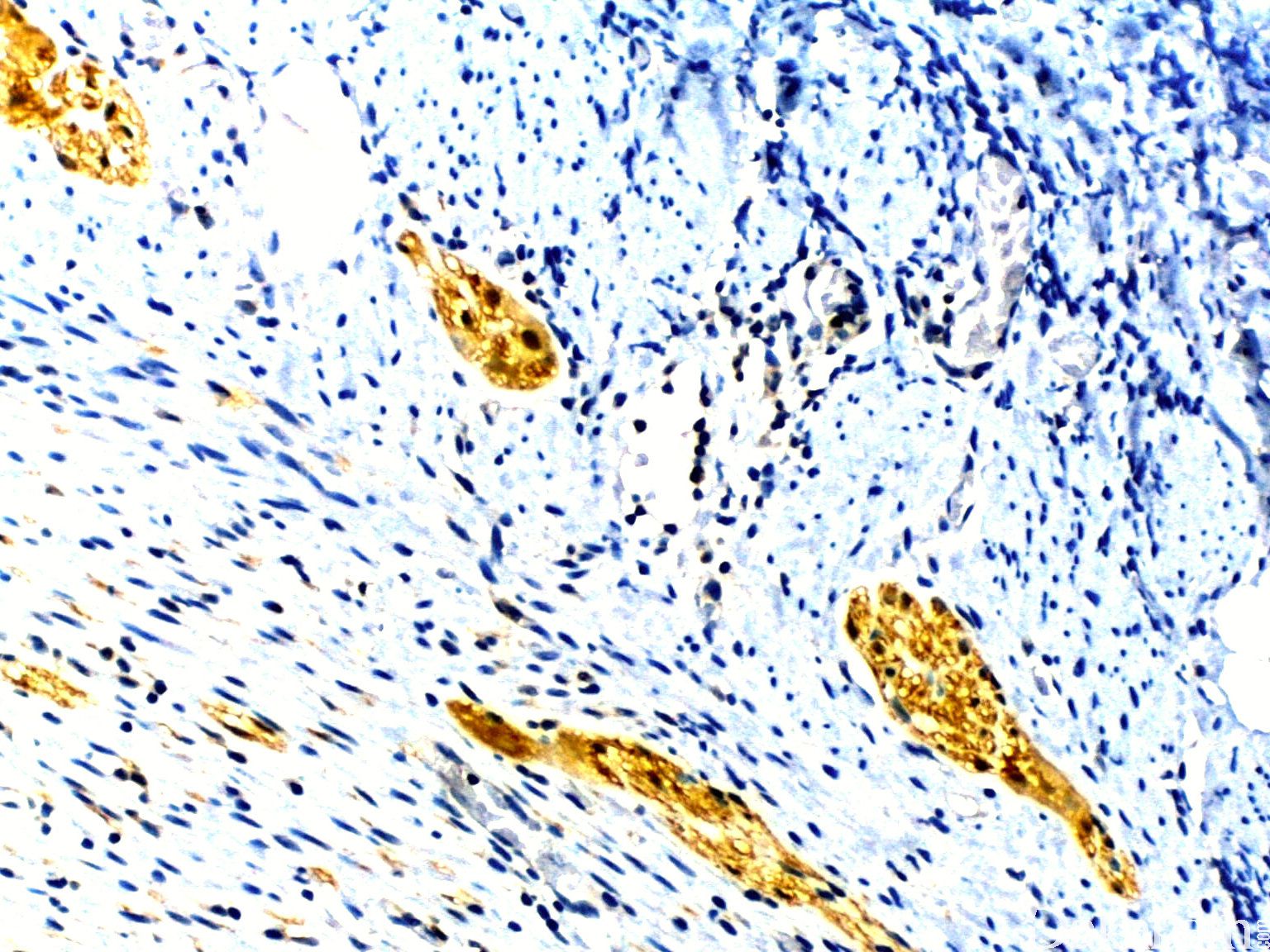
甲状腺腺瘤细胞核丢失 PTEN 是 Cowden 病敏感和特异性指标;
丢失可鉴别前列腺导管内腺癌与高级别 PIN。
商品化试剂(排名不分先后,本网站对抗体质量不负责!)
公司 | 克隆号 | 即用型(ml) | 原液(ml) | ||||
基因科技 | 17. A | / | 2 | 4 | 7 | / | 0.2 |
中杉金桥 | D4.3 | 1.5 | 3 | 6 | / | 0.1 | 0.2 |
安必平 | 6H2.1 | 1.5 | 3 | 6 | / | 0.1 | 0.2 |
福建迈新 | 6H2.1 | 1.5 | 3 | 6 | / | 0.1 | 0.2 |
在肿瘤中的表达情况:
几乎全部阳性(≥95%的病例阳性): 卵巢子宫内膜样交界性肿瘤/非典型增生性子宫内膜样肿瘤、肾上腺皮质癌、卵巢透明细胞癌、小肠腺癌、卵巢交界性黏液性肿瘤,胃肠型
通常阳性(<95%,≥75%的病例阳性): 恶性黑色素瘤、平滑肌肉瘤,NOS、上皮样间皮瘤、肺大细胞癌、胃肠道间质瘤、脊索瘤、黏液性脂肪肉瘤、子宫内膜浆液性癌、外毛根鞘瘤
经常阳性(<75%,≥55%的病例阳性): 前列腺腺泡性癌、子宫癌肉瘤、间皮瘤,双向分化、胰腺导管腺癌
有时阳性(<55%,≥35%的病例阳性): 结直肠腺癌、乳头状肾细胞癌、乳腺导管原位癌、恶性混合性苗勒管肿瘤,间质成分、恶性混合性苗勒管肿瘤,上皮成分、卵巢高级别浆液性癌、子宫内膜腺癌、多形性胶质母细胞瘤、阴经鳞状细胞癌、卵巢混合性浆液与子宫内膜样腺癌
少数阳性(<35%,≥15%的病例阳性): 宫颈鳞状细胞癌、Kaposi 肉瘤、大细胞神经内分泌癌、乳腺基底样癌,三阴性、前列腺导管内癌
偶尔阳性(<15%,≥5%的病例阳性): 卵巢子宫内膜样癌、宫颈腺癌,非特指型
几乎全部阴性(<5%的病例阳性): 痣,NOS、前列腺高级别上皮内瘤变