STAT6

概述:
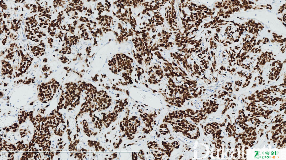
信号传导和转录激活因子 6,应答细胞因子和生长因子受体相关激酶磷酸化,是 IL-4 介导的生物反应,还参与介导的过程中相关的细胞因子 IL-13、IL-4。表达在大多数的正常组织中,呈胞浆、胞核表达。在孤立性纤维性肿瘤/血管外皮瘤中具有 12q13 易位,NAB2 与 STAT6 融合引起 STAT6 在核内强表达。
信号定位: 胞核,胞浆
在病理学中的应用:
孤立性纤维性肿瘤(胞核+)的诊断和鉴别诊断。
商品化试剂(排名不分先后,本网站对抗体质量不负责!)
公司 | 克隆号 | 即用型(ml) | 原液(ml) | ||||
中杉金桥 | EP325(同YE361) | 1.5 | 3 | 6 | / | 0.1 | 0.2 |
福建迈新 | 多克隆 | 1.5 | 3 | 6 | / | / | 0.2 |
在肿瘤中的表达情况:
几乎全部阳性(≥95%的病例阳性): 孤立性纤维性肿瘤
偶尔阳性(<15%,≥5%的病例阳性): 去分化脂肪肉瘤