TPO

概述:
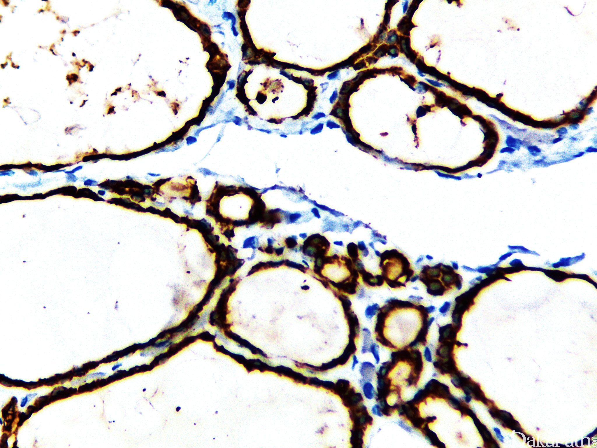
甲状腺过氧化物酶(TPO),位于甲状腺上皮细胞的顶端游离面上,直接参与甲状腺细胞中碘的氧化、酪氨酸的碘化及碘化酪氨酸的偶联等。它是甲状腺激素合成过程中的关键酶。 在正常、增生性及绝大部分良性肿瘤性甲状腺组织中高表达,在甲状腺恶性肿瘤中 TPO 表达明显减少。
信号定位: 胞质
在病理学中的应用:
辅助甲状腺肿与甲状腺癌的诊断,在正常甲状腺及甲状腺良性病变中中广泛表达,甲状腺癌表达减低,但对区分甲状腺良恶性肿瘤特异性及敏感性均不高。
商品化试剂(排名不分先后,本网站对抗体质量不负责!)
公司 | 克隆号 | 即用型(ml) | 原液(ml) | ||||
基因科技 | AC25 | / | 2 | 4 | 7 | / | 0.2 |
中杉金桥 | AC25 | 1.5 | 3 | 6 | / | 0.1 | 0.2 |
安必平 | AC25 | 1.5 | 3 | 6 | / | 0.1 | 0.2 |
福建迈新 | AC25 | 1.5 | 3 | 6 | / | / | 0.2 |
在肿瘤中的表达情况:
几乎全部阳性(≥95%的病例阳性): 甲状腺滤泡性腺瘤、结节性甲状腺肿
有时阳性(<55%,≥35%的病例阳性): 甲状腺滤泡性癌、甲状腺乳头状癌