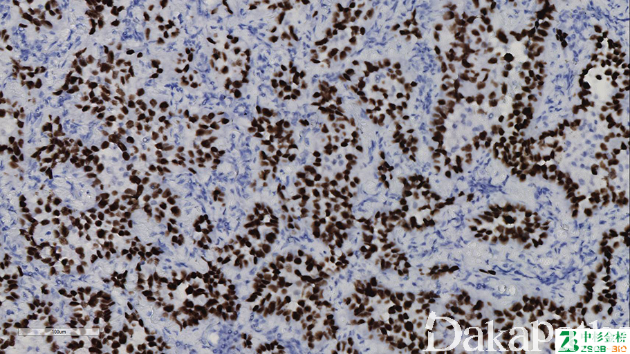
TTF-1

别名: Thyriod transcription factor-1;甲状腺转录因子 1
概述:
核转录蛋白,甲状腺转录因子。标记甲状腺滤泡细胞、新生儿肺及肺泡 II 型细胞。多数肺腺癌、小细胞癌阳性,肺鳞癌多阴性。肝细胞及肝细胞肿瘤的胞浆可以着色。
信号定位: 胞核
在病理学中的应用:
1、正常表达在甲状腺滤泡上皮细胞、肺泡 II 型上皮细胞、细支气管上皮细胞、垂体前叶、甲状旁腺、滤泡旁 C 细胞等;
2、与 CK7、CK20 联全使用鉴别肺外腺癌的原发部位;
3、鉴别肺腺癌(+)与间皮瘤(-);
4、鉴别肺的分化差的鳞状细胞癌(-);
5、与 Thyroglobulin 联合使用鉴别甲状腺癌(+)。
商品化试剂(排名不分先后,本网站对抗体质量不负责!)
公司 | 克隆号 | 即用型(ml) | 原液(ml) | ||||
基因科技 | SPT24 | / | 2 | 4 | 7 | / | 0.2 |
8G7G3/1 | 1 | 2 | 4 | 7 | / | 0.2 | |
中杉金桥 | 8G7G3/1 | 1.5 | 3 | 6 | / | 0.1 | 0.2 |
SPT24 | 1.5 | 3 | 6 | / | 0.1 | 0.2 | |
安必平 | 8G7G3/1 | 1.5 | 3 | 6 | / | 0.1 | 0.2 |
SPT24 | |||||||
福建迈新 | SPT24 | 1.5 | 3 | 6 | / | / | 0.2 |
8G7G3/1 | 1.5 | 3 | 6 | / | / | 0.2 | |
在肿瘤中的表达情况:
几乎全部阳性(≥95%的病例阳性): 甲状腺髓样癌、甲状腺滤泡性腺瘤、甲状腺乳头状癌、肺细胞腺肌上皮瘤,上皮成分、肺硬化性肺细胞瘤、甲状腺腺瘤、甲状腺滤泡型乳头状癌、肺硬化性肺细胞瘤,多角形细胞、肺硬化性肺细胞瘤,立方细胞、甲状腺柱状细胞型乳头状癌、肺嗜酸细胞腺癌、腺瘤性甲状腺肿、卵巢甲状腺肿
通常阳性(<95%,≥75%的病例阳性): 甲状腺滤泡性癌、肺贴壁型腺癌、肺贴壁型腺癌,黏液非黏液混合性、肺印戒细胞癌、肺小细胞癌、睾丸青春期后型畸胎瘤
经常阳性(<75%,≥55%的病例阳性): 肺不典型类癌、肺腺鳞癌、肺肠型腺癌、宫颈小细胞癌、肺腺癌
有时阳性(<55%,≥35%的病例阳性): 中肾癌、肺透明细胞癌、肺大细胞癌、肺类癌、肺浸润性黏液腺癌、大细胞神经内分泌癌、肺大细胞神经内分泌癌
少数阳性(<35%,≥15%的病例阳性): 子宫内膜腺癌,III 级、子宫内膜腺癌 I-II 级、类癌、肺 NUT 癌、肾母细胞瘤、肺肉瘤样癌、耳鼻喉神经内分泌癌、肺贴壁型腺癌,黏液性、子宫内膜浆液性癌
偶尔阳性(<15%,≥5%的病例阳性): 卵巢子宫内膜样癌、胸腺神经内分泌癌、肺鳞状细胞癌、卵巢透明细胞癌、滑膜肉瘤、腹膜原发性腺癌
几乎全部阴性(<5%的病例阳性): 肾嫌色细胞癌、肾细胞癌伴获得性肾囊肿病、十二指肠高分化神经内分泌肿瘤、小肠高分化神经内分泌肿瘤、中枢性原始神经外胚层瘤、结直肠腺癌、囊性肾瘤-囊上皮、恶性黑色素瘤、平滑肌肉瘤,NOS、上皮样间皮瘤、前列腺腺泡性癌、间皮瘤,NOS、乳头状肾细胞癌、肝细胞癌、肾上腺皮质癌、肾细胞癌、副神经节瘤、子宫内膜腺癌,NOS、乳腺导管原位癌、软骨肉瘤、良性胸腺瘤、化生性胸腺瘤,梭形细胞成分、胸腺化生性胸腺瘤,上皮成分、淋巴上皮癌、胸腺基底细胞样癌、涎腺导管腺癌、肾上腺皮脂腺瘤、嗜铬细胞瘤、尤文肉瘤、腺泡状横纹肌肉瘤、卵巢黏液性交界性肿瘤/非典型增生性黏液性肿瘤、促结缔组织增生性小圆细胞肿瘤、神经母细胞瘤、乳腺黏液癌、胚胎性癌、垂体腺瘤、垂体腺瘤,促性腺激素阳性、垂体腺瘤,分泌促甲状腺激素、垂体腺瘤,分泌促肾上腺皮质激素、垂体腺瘤,分泌卵泡刺激素、垂体腺瘤,分泌泌乳素、垂体腺瘤,分泌生长激素、垂体腺瘤,裸细胞、胰腺母细胞瘤、胃印戒细胞癌、肝外胆管癌、间皮增生、卵巢黏液性癌、外阴鳞状细胞癌、肝母细胞瘤、胰腺腺癌、食管腺癌、局限性恶性间皮瘤、肺细胞腺肌上皮瘤,肌上皮成分、壶腹神经内分泌癌,高级别、高分化乳头状间皮瘤、甲状旁腺腺瘤、壶腹腺癌、间皮瘤,双向分化、食管未分化癌、结直肠黏液性腺癌、胆管癌、胆囊腺癌、子宫内膜腺癌、皮肤 Merkel 细胞癌、乳腺小管癌、乳腺浸润性癌,非特殊类型、囊性肾瘤-间质、胰岛细胞瘤、中肾腺瘤、囊性肾瘤、胰胆管腺癌、宫颈腺癌,非特指型、卵巢浆液性癌、肺淋巴上皮瘤样癌、胃腺癌、胚胎性横纹肌肉瘤、肺基底样鳞状细胞癌、尿路淋巴上皮瘤样癌、乳腺浸润性小叶癌、肺黏液表皮样癌、壶腹高分化神经内分泌肿瘤、结直肠高分化神经内分泌肿瘤、阑尾印戒细胞癌、高分化神经内分泌肿瘤、肾嗜酸细胞瘤、乳腺癌伴印戒细胞样细胞分化、乳腺浸润性导管癌,伴小叶癌特征、胰腺导管腺癌