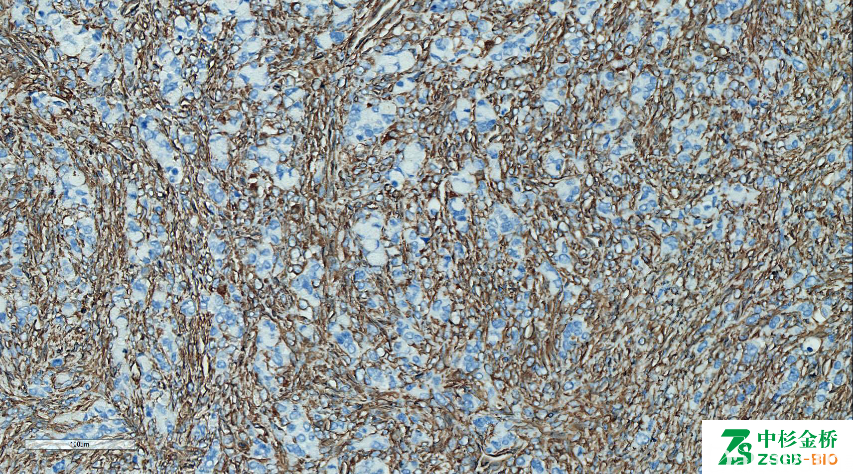
Vimentin

别名: 波形蛋白
概述:
中间纤维,广发分布于间叶细胞。
信号定位: 胞质
在病理学中的应用:
- 上皮源性肿瘤与间叶性肿瘤的鉴别诊断;
- 间皮瘤与腺癌的鉴别、上皮样滑膜肉瘤与腺癌的鉴别;
- 子宫内膜腺癌与宫颈腺癌的鉴别;
- 转移癌同时表达 CK 与 vimentin 提示肾细胞癌、子宫内膜腺癌及甲状腺癌可能。
商品化试剂(排名不分先后,本网站对抗体质量不负责!)
公司 | 克隆号 | 即用型(ml) | 原液(ml) | ||||
基因科技 | V9 | 1 | 2 | 4 | 7 | 0.2 | 1 |
中杉金桥 | V9 | 1.5 | 3 | 6 | / | 0.1 | 0.2 |
EP21 | |||||||
安必平 | V9 | 1.5 | 3 | 6 | / | 0.1 | 0.2 |
SP20 | |||||||
福建迈新 | V9 | / | 3 | 6 | / | / | / |
MX034 | 1.5 | 3 | 6 | / | / | 0.2 | |
在肿瘤中的表达情况:
几乎全部阳性(≥95%的病例阳性): 梭形细胞脂肪肉瘤、听神经鞘瘤、血管内皮瘤,NOS、血管内皮细胞瘤,Kaposi 型、食管癌肉瘤、肌上皮瘤、肾细胞癌伴 t(6;11)(p21;q12)、脑膜瘤,乳头状、乳头状室管膜瘤、松果体乳头状瘤、中枢性原始神经外胚层瘤、乳腺产间质癌、恶性黑色素瘤、肌上皮癌、纤维肉瘤、隆突性皮肤纤维肉瘤、神经鞘膜瘤,NOS、血管周细胞瘤、未分化多形性肉瘤、孤立性纤维性肿瘤、高级别子宫内膜间质肉瘤、上皮样血管内皮瘤、支持-间质细胞肿瘤、B 淋巴母细胞白血病/淋巴瘤、管囊性肾细胞癌、皮肤纤维瘤、胰腺实性假乳头状肿瘤、非典型纤维黄色瘤、乳头状肾细胞癌伴嗜酸细胞、神经鞘黏液瘤、肾细胞癌伴 Xp11.2 异位、卵巢微囊性间质肿瘤、甲状腺滤泡性腺瘤、颗粒细胞瘤、血管瘤、淋巴细胞性甲状腺炎(乔本甲状腺炎)、甲状腺滤泡性癌、胃泌素瘤、软骨肉瘤、组织细胞肉瘤、滤泡树突状细胞肿瘤、色素性神经鞘瘤细胞瘤、化生性胸腺瘤,梭形细胞成分、上皮样血管瘤、经典型霍奇金淋巴瘤、球旁细胞瘤、非典型性脂肪瘤性肿瘤、巨细胞血管纤维瘤、上皮样多形性脂肪肉瘤、胃肠自主神经瘤、涎腺导管腺癌、原始神经外胚层瘤、细胞性血管纤维瘤、卵巢卵泡膜细胞瘤、腺样囊性癌、上皮样外周神经鞘瘤、上皮样胃肠道间质瘤、肾横纹肌样肾细胞癌,非横纹肌样成分、胃肠道间质瘤、膀胱肉瘤样尿路上皮癌、恶性横纹肌样瘤、毛细血管瘤、多形性平滑肌肉瘤、恶性混合性苗勒管肿瘤,间质成分、乳腺基底样导管内癌、畸胎性癌肉瘤、黏液恶性纤维组织细胞瘤、耵聍腺腺瘤、神经束膜瘤、腺泡状横纹肌肉瘤、滑膜肉瘤,单向分化、去分化脂肪肉瘤、血管球瘤、胃肠血管球瘤、梭形和上皮样细胞痣、Kaposi 肉瘤、滑膜肉瘤,双向型、神经纤维瘤、鼻血管周细胞瘤、低级别纤维黏液肉瘤、纤维瘤病、痣,NOS、胃肠外间质肿瘤、血管肉瘤、透明细胞肉瘤、胰腺母细胞瘤、卵巢幼年型粒层细胞瘤、结节性筋膜炎、卵巢癌肉瘤、胎盘部位结节、上皮样血管肉瘤、血管瘤样恶性纤维组织细胞瘤、低级别平滑肌肉瘤、骨巨细胞瘤、幼年性黄色肉芽肿、脊索瘤、交指状树突状细胞肿瘤、性索肿瘤伴粒层细胞分化、肌纤维瘤、恶性腱鞘巨细胞瘤、软骨样脊索瘤、良性纤维组织细胞瘤、栅栏样包裹性神经瘤、软骨样汗腺腺瘤、涎腺类似于乳腺的分泌性癌、副脊索瘤、肾横纹肌样肾细胞癌,横纹肌样成分、阴茎肉瘤样癌、前列腺恶性潜能未定的间质肿瘤、肺弥漫性脑膜样上皮瘤病、纤维结构不良、脑垂体梭形细胞嗜酸细胞瘤、耳鼻喉神经内分泌癌、皮脂腺上皮肌上皮癌、卵巢支持间质细胞肿瘤、脊索样胶质瘤、黏液性软骨肉瘤、睾丸大细胞钙化性支持细胞肿瘤、睾丸恶性大细胞钙化性支持细胞肿瘤、血管肌纤维母细胞瘤、肾髓质癌、肌纤维母细胞瘤、上皮样炎性纤维母细胞肉瘤、造釉细胞瘤、腺样基底细胞癌、恶性肌上皮瘤、卵巢硬化性间质瘤、硬化性神经束膜瘤、软骨样脂肪瘤、黄色瘤、良性脊索细胞瘤、软骨母细胞瘤,NOS、脑膜瘤,脊索样、颅外脑膜瘤、喉梭形细胞癌、弹力纤维瘤、节细胞胶质瘤、滑膜肉瘤、卵巢成人颗粒细胞瘤、丛状纤维组织细胞瘤、耳鼻喉梭形细胞癌、软骨黏液样纤维瘤、胶原性纤维瘤、指获得性反应性纤维瘤、胰腺横纹肌样未分化癌、上皮样肉瘤、炎性黏液玻璃样变肿瘤、窦组织细胞增生症伴巨大淋巴结肿大、腱膜钙化性纤维瘤、血管中心性神经上皮肿瘤、脂肪母细胞性神经鞘瘤、性索间质肿瘤、骨外骨肉瘤、间变性脑膜瘤、先天性颗粒细胞瘤、恶性潜能未定的外周神经鞘瘤、血管肿瘤、非骨化性纤维瘤、黄色肉芽肿、纤维组织细胞瘤、子宫上皮样平滑肌肉瘤、胶质肉瘤、恶性血管周细胞瘤、脑膜瘤,横纹肌样、脑膜瘤,移行型、骨母细胞瘤、骨骨软骨黏液瘤、淋巴结出血性梭形细胞肿瘤、淋巴管瘤病,NOS、上皮样纤维组织细胞瘤、淋巴管内乳头状血管内皮瘤、脂肪肉瘤、滑膜肉瘤,双向型,梭形细胞成分、横纹肌样多形性胶质母细胞瘤、肺母细胞瘤、前列腺间质肉瘤、软组织恶性骨化性纤维黏液样肿瘤、上皮样多形性胶质母细胞瘤、骨外间叶性软骨肉瘤、上皮样神经纤维肉瘤、黏液性神经纤维瘤、涎腺原基肿瘤、钙化性纤维瘤、肾黏液管状和梭形细胞癌、浅表宫颈阴道肌纤维母细胞瘤、恶性血管球瘤、细胞性纤维组织细胞瘤、乳头旺炽性乳头状瘤病、十二指肠间质肿瘤、肺硬化性肺细胞瘤,多角形细胞、上皮样肉瘤,横纹肌样特征、垂体细胞瘤、乳腺叶状肿瘤,梭形细胞成分、卵巢甲状腺肿、多形性腺瘤、皮肤恶性色素性神经外胚层肿瘤、丛状神经鞘瘤、窦岸细胞血管瘤、上皮样神经鞘瘤
通常阳性(<95%,≥75%的病例阳性): 黏液性/圆细胞脂肪肉瘤、细胞性神经鞘黏液瘤、子宫内膜腺癌,III 级、子宫内膜腺癌 I-II 级、横纹肌肉瘤,NOS、平滑肌肉瘤,NOS、恶性外周神经鞘膜瘤、乳腺化生性癌、中肾癌、中肾瘤,NOS、上皮肌上皮癌、乳腺分泌性癌、促结缔组织增生性黑色素瘤、毛细胞白血病、肾上腺皮脂腺瘤、肺大细胞癌、涎腺导管癌、尤文肉瘤、卵巢低级别浆液性癌、葡萄状横纹肌肉瘤、非典型畸胎瘤样横纹肌样瘤、血管周上皮样细胞肿瘤、促结缔组织增生性小圆细胞肿瘤、骨外黏液性软骨肉瘤、甲状腺间变性癌、卵巢无性细胞瘤、炎性假瘤、血管肌脂肪瘤、恶性潜能未定的平滑肌肿瘤、间皮增生、子宫癌肉瘤、间叶性软骨肉瘤、小细胞性骨肉瘤、视网膜母细胞瘤,NOS、蜕膜样间皮瘤、血管母细胞瘤、腺样外周神经鞘瘤、肾上腺嗜酸细胞性肾上腺皮质肿瘤、间变性星形细胞瘤、滑膜肉瘤,单向分化,纤维型、间皮瘤,双向分化、上皮样纤维肉瘤、上皮肌上皮癌,肌上皮成分、胶质母细胞瘤,NOS、横纹肌样瘤、黏液瘤,NOS、肺硬化性肺细胞瘤、甲状腺腺瘤、中肾腺瘤、脑膜瘤,分泌性、肾上腺皮质肿瘤,NOS、浅表血管黏液瘤、乳腺基底样癌,三阴性、脑膜瘤,血管母细胞性、甲状腺未分化癌、卵巢卵黄囊瘤、脑膜瘤,纤维型、胚胎性横纹肌瘤、肾集合管癌
经常阳性(<75%,≥55%的病例阳性): 卵巢子宫内膜样癌、皮脂腺腺癌、卵巢子宫内膜样交界性肿瘤/非典型增生性子宫内膜样肿瘤、上皮样间皮瘤、间皮瘤,NOS、乳头状肾细胞癌、肾上腺皮质癌、肾细胞癌、肾细胞癌伴 t(X;17)(p11;q25)、甲状腺髓样癌、纵膈精原细胞瘤、神经母细胞瘤、耳鼻喉鳞状细胞癌、淋巴瘤、脑膜瘤,NOS、子宫间质结节、子宫内膜透明细胞癌、局限性恶性间皮瘤、骨纤维结构不良、鼻窦腺癌,非肠型、子宫内膜腺癌、良性混合性平滑肌-间质肿瘤、平滑肌瘤、肾嗜酸细胞瘤、腺样鳞状细胞癌、神经内分泌肿瘤
有时阳性(<55%,≥35%的病例阳性): 皮肤鳞状细胞癌、肾小细胞嗜酸细胞瘤、胰腺腺泡细胞癌、低级别子宫内膜间质肉瘤、副神经节瘤、肺 NUT 癌、髓母细胞瘤,NOS、上消化道基底样鳞状细胞癌、嗜铬细胞瘤、黏液表皮样癌、鼻咽癌,角化性、睾丸精原细胞瘤、胆管癌、腺瘤样瘤,NOS、肺胸区恶性小圆细胞肿瘤、子宫内膜浆液性癌、透明细胞汗腺瘤、滑膜肉瘤,上皮成分、非典型平滑肌瘤
少数阳性(<35%,≥15%的病例阳性): 鼻窦腺癌,肠型、膀胱尿路上皮癌、类癌、甲状腺乳头状癌、良性胸腺瘤、腺泡状软组织肉瘤、星形细胞瘤,高分化、鼻窦未分化癌、睾丸青春期后型卵黄囊瘤、卵巢高级别浆液性癌、皮内痣、胚胎性癌、肝母细胞瘤、乳腺浸润性导管癌,高级别、卵巢透明细胞癌、腹膜原发性腺癌、上皮样平滑肌瘤、胃腺癌、支气管黏液腺腺瘤、尿路上皮癌、肺腺癌
偶尔阳性(<15%,≥5%的病例阳性): 囊性肾瘤-囊上皮、肝细胞癌、卵巢黏液性癌、乳腺癌,腔型、宫颈微偏腺癌、嗅神经母细胞瘤、宫颈腺癌,非特指型、大细胞神经内分泌癌、乳腺浸润性小叶癌
几乎全部阴性(<5%的病例阳性): 肾嫌色细胞癌、结直肠腺癌、皮脂腺腺瘤、前列腺腺泡性癌、皮肤基底细胞癌、子宫内膜绒毛膜癌、梭形细胞鳞状细胞癌、恶性孤立性纤维性肿瘤、睾丸精母细胞性肿瘤、胸腺化生性胸腺瘤,上皮成分、涎腺腺泡细胞癌、肝外胆管癌、胰腺浆液性囊腺癌、胰腺实性浆液性腺瘤、节细胞神经瘤、胰腺多发性浆液性囊性肿瘤,Von Hippel-Lindau 相关、涎腺透明细胞腺癌、膀胱腺癌,非特指型、松果体生殖细胞瘤、胰腺局限性浆液性寡囊腺瘤、上皮肌上皮癌,上皮成分、胆囊腺癌、乳腺小管小叶癌、乳腺筛状癌、乳腺叶状肿瘤,上皮成分、皮肤 Merkel 细胞癌、乳腺浸润性导管癌,低级别、乳腺小管癌、乳腺浸润性癌,非特殊类型、卵巢交界性黏液性肿瘤,胃肠型、胰胆管囊腺癌伴间叶性间质,黏液、上皮样滋养层细胞肿瘤、透明细胞牙源癌、食管基底样鳞状细胞癌、胸腺腺鳞癌、肺硬化性肺细胞瘤,立方细胞、胰腺导管腺癌