ZAP70

别名: SRK, STD
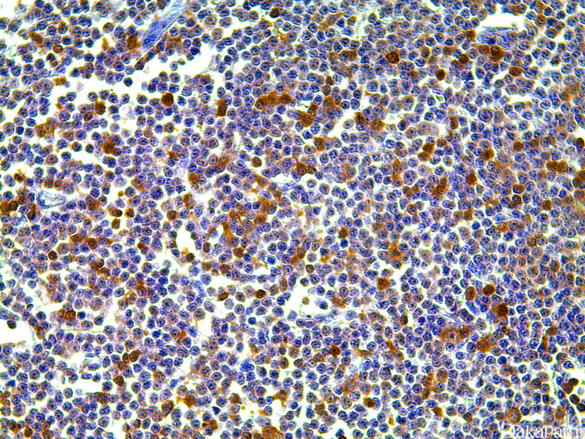
概述:
酪氨酸激酶家族, Zeta-chain(TCR)相关的蛋白激酶,参于 T、NK 细胞受体传导。正常表达在副皮质区 T 细胞、NK 细胞、肥大细胞和嗜碱性粒细胞,正常前体 B 可检测到,并可少量、分散表达于套区和滤泡区的小淋巴细胞。与 CLL 的 IgVH 的非突变结构形成密切相关。
信号定位: 胞质、胞核
在病理学中的应用:
CLL 的独立预后指标,与体细胞突变缺失、疾病进展、整体生存率差、弥漫骨髓侵润等相关。>20%为阳性。
商品化试剂(排名不分先后,本网站对抗体质量不负责!)
公司 | 克隆号 | 即用型(ml) | 原液(ml) | ||||
基因科技 | 2F3.2 | / | 2 | 4 | 7 | / | 0.2 |
中杉金桥 | 2F3.2 | 1.5 | 3 | 6 | / | 0.1 | 0.2 |
安必平 | 2F3.2 | 1.5 | 3 | 6 | / | 0.1 | 0.2 |
福建迈新 | 2F3.2 | / | / | / | / | / | 0.2 |
在肿瘤中的表达情况:
几乎全部阳性(≥95%的病例阳性): 结外 NK/T 细胞淋巴瘤,鼻型、肠病相关 T 细胞淋巴瘤、NK 细胞淋巴瘤
通常阳性(<95%,≥75%的病例阳性): 皮下脂膜炎样 T 细胞淋巴瘤
经常阳性(<75%,≥55%的病例阳性): 淋巴瘤样丘疹病、外周 T 细胞淋巴瘤、慢性淋巴细胞白血病/B 小淋巴细胞淋巴瘤
有时阳性(<55%,≥35%的病例阳性): T 淋巴母细胞白血病/淋巴瘤、B 淋巴母细胞白血病/淋巴瘤、间变性大细胞淋巴瘤,ALK 阴性
少数阳性(<35%,≥15%的病例阳性): Burkitt 淋巴瘤、T 幼淋巴细胞白血病
偶尔阳性(<15%,≥5%的病例阳性): 套细胞淋巴瘤
几乎全部阴性(<5%的病例阳性): 急性髓系白血病,NOS、弥漫大 B 型大 B 细胞淋巴瘤,非特指型、滤泡性淋巴瘤 III 级、滤泡性淋巴瘤、经典型霍奇金淋巴瘤、孤立性浆细胞瘤、结节性淋巴细胞为主型霍奇金淋巴瘤、脾脏边缘区淋巴瘤、黏膜相关淋巴组织边缘区 B 细胞淋巴瘤、边缘区 B 细胞淋巴瘤、淋巴细胞消减型经典型霍奇金淋巴瘤、混合细胞型经典型霍奇金淋巴瘤、结节硬化型经典型霍奇金淋巴瘤