低度恶性肌纤维母细胞性肉瘤
Low-Grade Myofibrosarcoma,LGMFS)
概述:
一种肌纤维母细胞性恶性肿瘤,常呈纤维瘤病样形态,但与纤维瘤病相比,瘤细胞明显更富于细胞伴有中等程度的核多形性
发病部位: 好发于头颈部,如舌、腭、牙龈、鼻旁窦、喉旁间隙、下颌骨和颅底,其次见于四肢、胸壁、腋下、腹股沟和腹/盆腔,少数病例也可发生于皮肤、腮腺、乳腺、阴囊、外阴、胫骨和指骨等处
诊断要点:
- 可发生于任何年龄,男性多见;
- 最常发生于头颈部,其次见于四肢、胸壁、腋下、腹股沟和腹/盆腔,偶尔发生于皮肤、腮腺、乳腺、阴囊、外阴、胫骨和指骨等处;
- 大体检查肿瘤界限不清,质坚硬,切面灰白色,纤维样;
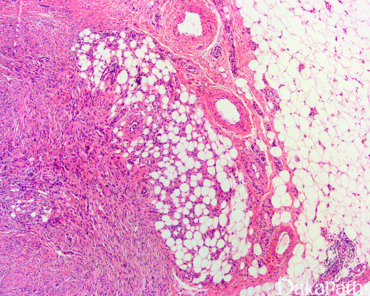
- 镜下见梭形细胞束状排列,肿瘤细胞较丰富,至少在局部区域核有中度的异型性;
- 部分病例瘤细胞可显示明显的异型性,并可呈交织的条束状或鱼骨样排列,可见凝固性坏死灶;
- 瘤细胞的胞质呈淡嗜伊红色,细胞周界不清,核波浪状,一端尖而细,染色质均匀,部分病例细胞核呈胖梭形,染色质呈空泡状,内含清晰或不甚清晰的小核仁;
- 少数病例内可见胞质内玻璃(纤维瘤样)包涵体;
- 核分裂像多少不等,平均为 2/HPF;
- 常弥漫浸润至周围的软组织特别是横纹肌和脂肪,梭形瘤细胞可浸润穿插在单个肌束之间,形成类似增生性肌炎中的棋盘样结构,也可浸润至脂肪组织内,类似侵袭性纤维瘤病;
- 肿瘤内可见数量较多的薄壁小血管;
- 少数病例的间质可呈黏液样或伴有出血,但无明显的淋巴细胞和浆细胞浸润。

免疫组织化学染色:
梭形细胞表达 vimentin,部分病例表达 actins、desmin、α-SMA、calponin、 fibronectin 和 CD34 中的一种或多种,不表达 h-caldesmon、S-100 蛋白和上皮性标记。
鉴别诊断:
- 韧带样纤维瘤病 :瘤细胞常呈长条束状或波浪状排列,无交织的条束状或鱼骨样排列,核多无异型性,免疫组化标记显示瘤细胞表达 β-catenin,虽部分细胞也可表达 actins 和(或)结蛋白,但多为灶性。
- 纤维肉瘤 :很少见到浸润穿插横纹肌所形成的棋盘样结构,瘤细胞胞质多不呈嗜伊红色,免疫组织化学标记除波状蛋白外,多不表达 actins 和 desmin,或仅为灶性、弱阳性表达。
- 恶性周围神经鞘膜瘤 :瘤细胞表达 S-100 蛋白、Leu-7 和 PGP9.5 等神经性标记,不表达 actins 和 desmin。
- 平滑肌肉瘤 :一般不形成类似纤维瘤病中向横纹肌内穿插浸润性的生长方式,也无类似增生性肌炎中的“棋盘样”结构,瘤细胞胞质丰富,深嗜伊红色,含有纵行肌丝,核居中,核两端平钝或呈雪茄样,部分瘤细胞核的一端可见空泡,常形成凹陷性压迹。除 actins 和 desmin 外,瘤细胞还表达 h-caldesmon。电镜检测显示明确的平滑肌分化。
治疗:
局部广泛切除,可在术前或术后辅以放疗
病例报道:
Covello R, Licci S, Pichi B, Spriano G, Vidiri A, Morelli L, Rosenberg AE (2011) Low-grade myofibroblastic sarcoma of the larynx. Int J Surg Pathol.
参考文献:
Mentzel T, Dry S, Katenkamp D, et al. Low-grade myofibroblastic sarcoma: analysis of 18 cases in the spectrum of myofibroblastic tumors. Am J Surg Pathol 1998;22:1228–1238. Mentzel T. Low-grade myofibroblastic sarcoma. In: Fletcher CD, Bridge JA, Hogendoorn PC, et al., eds. World Health Organization Classification of Tumours of Soft Tissue and Bone. Lyon, France: IARC Press; 2013: 85–86.