黏液纤维肉瘤
Myxofibrosarcoma,MFS
同义词(或曾用名): 低度恶性黏液纤维肉瘤、高度恶性黏液纤维肉瘤
概述:
是一种纤维母细胞性恶性肿瘤,基质呈程度不等的黏液样,可见清晰的弧线状血管,瘤细胞显示不同程度的异型性
发病部位: 肢体,特别是下肢,躯干、头颈部和腹壁
诊断要点:
- 多见于 50 ~ 70 岁的老年人;
- 好发于肢体,特别是下肢,躯干、头颈部和腹壁者较为少见,肿瘤常位于真皮深层、筋膜下或肌肉内;
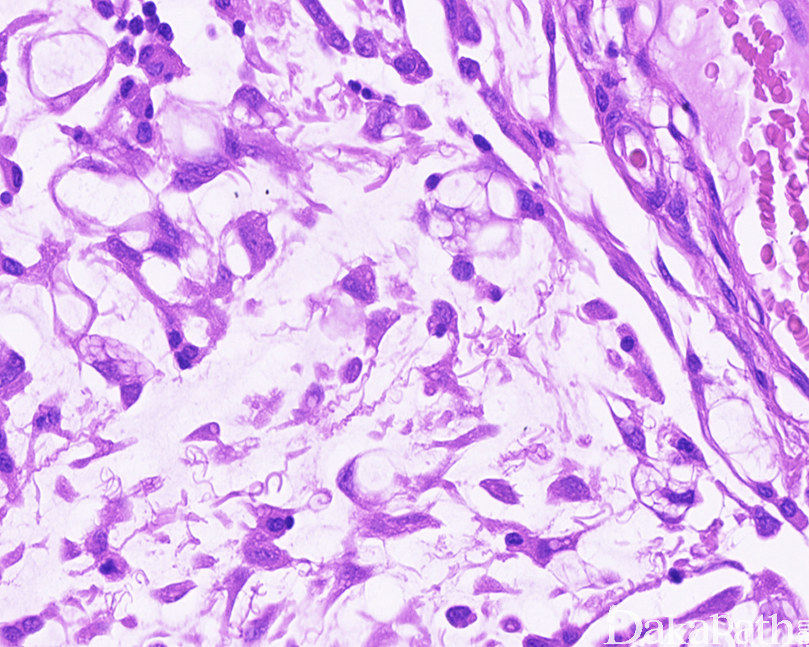
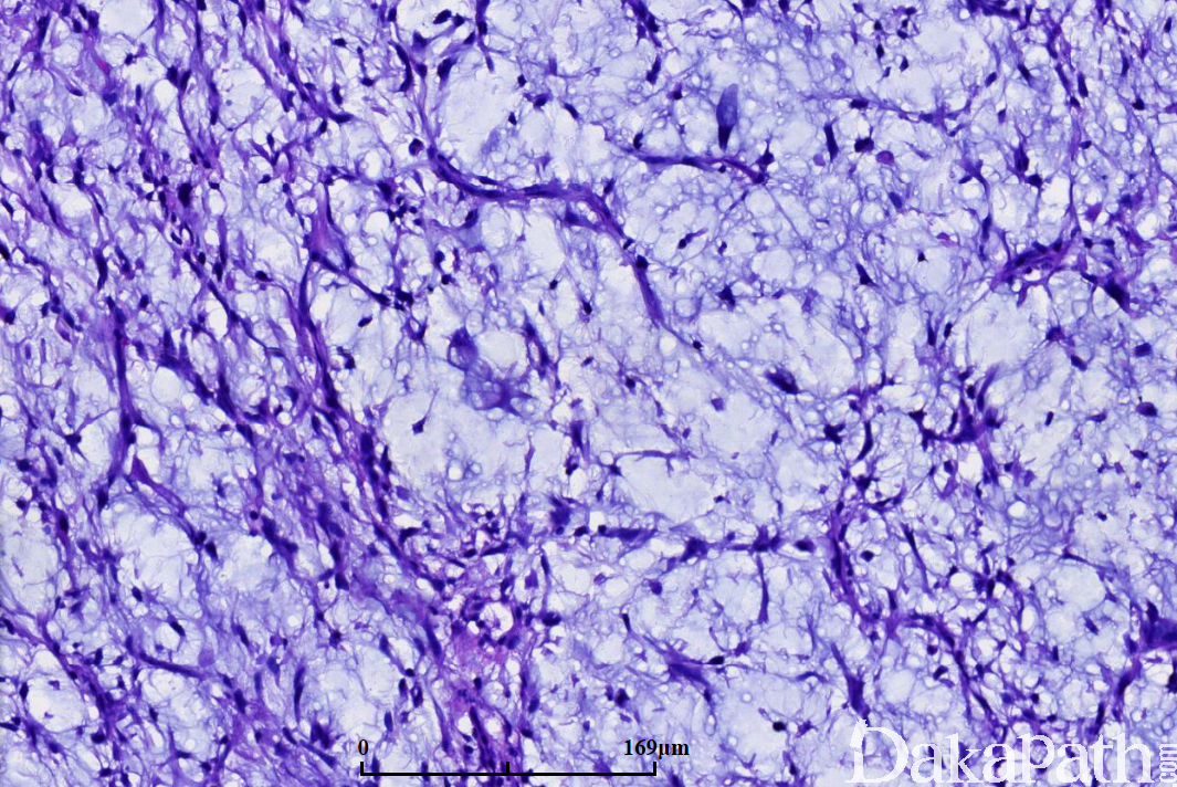
- 肿瘤呈多结节状生长,结节之间为纤细而不完整的纤维结缔组织间隔,结节内的间质呈黏液样,内含大量的透明质酸;
- 低度恶性黏液纤维肉瘤:
- 肿瘤边界不清,细胞密度低;
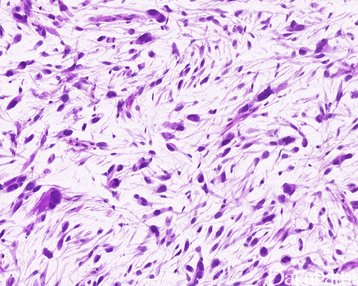
- 主要由梭形细胞或星状细胞组成,细胞排列紊乱或呈条束状排列,胞质常呈淡嗜伊红色,核深染,有轻度异型,核分裂像不多见;
- 常常可见到多空泡状的假脂肪母细胞;
- 部分病例内可见核深染的多核瘤细胞或畸形瘤细胞;
- 肿瘤内的血管多呈细长的曲线状或弧线状,少数病例中也可呈丛状或分支状,瘤细胞有沿血管排列的倾向。
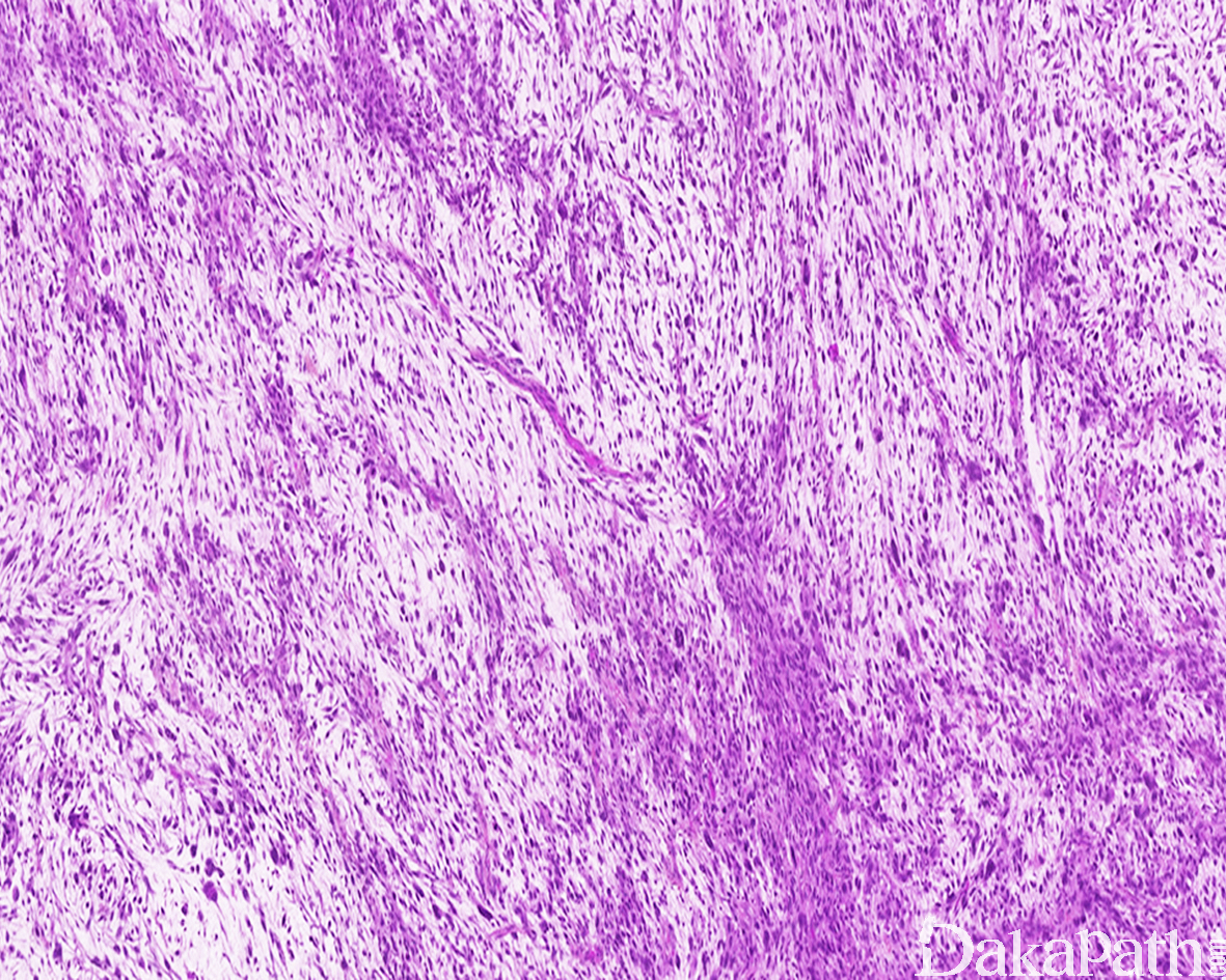
- 高度恶性黏液纤维肉瘤:
- 肿瘤大部分区域由排列致密的梭形细胞和多形性细胞组成,核分裂像易见,并可见病理性核分裂像,形态上类似经典的纤维肉瘤或恶性纤维组织细胞瘤,但在局部区域,仍可见到低度恶性的黏液纤维肉瘤成分,两者之间可见移行;
- 偶可见上皮样肿瘤细胞,呈圆形或多边形,胞质嗜伊红色,核呈圆形,染色质呈空泡状,可见明显的核仁,与经典的黏液纤维肉瘤相似;
- 上皮样的瘤细胞也可显示明显的多形性,并可见病理性核分裂像;
- 也可见到胞质内含有黏液的假脂肪母细胞。
- 肿瘤分级仍存在争议;分级与预后关系不大。

免疫组织化学染色:
无特征性标记,可表达 CD34 和 P504s,局灶可表达 SMA,罕见表达 desmin,不表达 S100 蛋白和 MUC4。
鉴别诊断:
- 低度恶性的 MFS 好发于中老年人,而 LGFMS 好发于青年人;
- MFS 中可见细长的弧线状血管,间质内含有大量的黏液,可见假脂肪母细胞,无与黏液呈交替性分布的纤维化或胶原化区域,而 LGFMS 中无细长的弧线状血管,无假脂肪母细胞,梭形细胞常呈漩涡状排列,且黏液区和胶原化区呈交替性分布;
- MFS 中的瘤细胞增殖活性 MIB-1 指数明显高于 LGFMS,而 p21 LI 和 p27 LI 明显低于 LGFMS:LGFMS 中有特异的染色体异位,并产生 FUS-CREB3L2 融合性基因,MUC4 阳性。 黏液性脂肪肉瘤 :肿块位置深,好发于中年人的大腿和腋窝;肿瘤内含有纤细丛状或分支状的血管网;瘤细胞的多形性和异型性均不明显;可见诊断性的脂肪母细胞。
治疗:
局部扩大切除,选择性放疗和化疗
病例报道:
Smith SC et al: CD34-positive superficial myxofibrosarcoma: a potential diagnostic pitfall. J Cutan Pathol. 40(7):639-45, 2013
Olson MT et al: Myxofibrosarcoma: cytomorphologic findings and differential diagnosis on fine needle aspiration. Acta Cytol. 56(1):15-24, 2012